Skip to content Skip to sidebar Skip to footer

Pheochromocytoma (Paraganglioma)

Clinical
A pheochromocytoma is a paraganglioma located in the adrenal medulla. An inconsistent terminology is in use when describing corresponding extraadrenal neoplasms; some authors refer to them as extraadrenal pheochromocytomas if they are functioning and paragangliomas if nonfunctioning, while others call
all extraadrenal tumors paragangliomas and simply specify the site and functioning status. A paraganglioma originates from chromaffin neural crest tissue that has migrated to form the paraganglionic system. Most are located between the diaphragm and the inferior renal pole, with the most common extraadrenal site being in the organ of Zuckerkandl near the inferior mesenteric artery origin.An occasional one involves the inferior vena cava, urinary bladder, or even the broad ligament.About 10% occur in children, where a familial prevalence is evident and is more likely to be extraadrenal and multicentric. A number of pheochromocytomas have been detected during pregnancy and postpartum. A pheochromocytoma produces an excess of catecholamines, and most of these patients have elevated catecholamine levels. An occasional one is part of a complex tumor; thus it can contain mesenchymal elements. Or, a cortical carcinoma or adenoma exhibits neuroendocrine differentiation. About 10% of pheochromocytomas are malignant. In general, extraadrenal paragangliomas are more malignant and metastasize more readily than their adrenal counterparts. The malignant potential of some is difficult to establish even by histology,
the one definite finding of malignancy being the presence of metastases at sites normally devoid of chromaffin cells.
Although many patients with a pheochromocytoma are hypertensive, overall this condition is a rare cause of hypertension. Pheochromocytoma-
induced hypertension tends to be paroxysmal, but differentiation from other causes of hypertension is difficult. A rare paraganglioma (pheochromocytoma) undergoes spontaneous rupture and extraperitoneal hemorrhage, at times resulting in an acute abdomen (Fig. 16.3). The prevalence of pheochromocytomas is increased in several disorders—neurofibromatosis, von Hippel-Lindau disease, Sturge
Weber syndrome, tuberous sclerosis, and multiple endocrine neoplasia (MEN) syndrome. Anatomically, some pheochromocytomacontaining glands are normal in size. Bilateral tumors are more prevalent in both MEN II patients and those with von Hippel-Lindau disease; some of these patients also develop extraadrenal pheochromocytomas. Thus detection of bilateral or familial pheochromocytomas warrants a search for other unsuspected tumors. Of note is that a large minority of these patients with a pheochromocytoma are asymptomatic and have normal blood pressure and normal catecholamine testing. Nevertheless, in patients with von Hippel-Lindau disease and MEN II syndrome, the measurement of plasma normetanephrine and metanephrine achieves a sensitivity and specificity of over 95% in detecting pheochromocytomas (33). Intravenous ionic contrast may precipitate a hypertensive crisis in a patient with a pheochromocytoma. Premedication with an a-adrenergic blocking agent appears prudent prior to intravenous (IV) contrast agent administration to prevent an adrenergic crisis, although the need for such blockage is not well established for nonionic contrast agents.
image
Spontaneous rupture of paraganglioma. A: Contrast-enhanced CT shows a retroperitoneal tumor with peripheral enhancement (arrows). B: A more caudad scan identifies left para-aortic fluid and infiltrate, mimicking a ruptured aortic aneurysm.
Imaging
A review of 282 patients who underwent
pheochromocytoma resection in France
between 1980 and 1991, found unilateral tumors
in 67%, bilateral ones in 19%, and extraadrenal
in 14% (34); the sensitivities of imaging in
detecting these tumors were 89% for CT, 98% for
MRI, and 81% for I-131-MIBG scintigraphy.
If imaging reveals no adrenal tumor in a
patient suspected of a pheochromocytoma,
imaging of other extraadrenal sites, including
bladder, is necessary. Scintigraphy with I-131-
MIBG is useful to detect extraadrenal and bilateral
tumors.
Most pheochromocytomas are readily
imaged by CT, US, and MRI (Fig. 16.4), yet the
clinical and imaging findings are not always
straightforward, even in a setting of elevated
catecholamines. Intrinsically solid tumors,
necrosis, and hemorrhage result in a cystic
appearance and, as a result, they have a variable
imaging appearances. It is with cystic tumors
that the differential diagnosis between cystic
pheochromocytomas, necrotic carcinomas,
and metastases becomes problematic. An aid to
diagnosis is that aside from necrotic regions,
these are very hypervascular tumors and
postcontrast CT shows marked contrast
enhancement.
image
A: Left adrenal pheochromocytoma. Computed tomography reveals a large, homogeneous, poorly enhancing tumor
(arrows) displacing the left kidney. B: Right adrenal pheochromocytoma. Computed tomography identifies a large, homogeneous,
poorly enhancing tumor (arrows).

Another source for confusion is that a minority
of adrenal pheochromocytomas contain
sufficient microscopic fat to result in a CT attenuation
of <10HU and thus mimic an adenoma
(35); after contrast enhancement some of these
hypodense tumors also reveal >60% contrast
washout on 10-min images, similar to
adenomas.
Some contain linear or laminated calcifications
(Fig. 16.5).Aside from several anecdotal
reports, pheochromocytomas do not contain
sufficient lipid to influence their imaging
appearance.
image
Left adrenal pheochromocytoma with liver metastasis.
A: Precontrast CT reveals a rim-calcified tumor in the pancreatic
tail (arrow). B,C: Two contrast-enhanced CT images show
lack of tumor enhancement.A mottled appearance in the liver was
due to extensive metastases.

Nonnecrotic pheochromocytomas tend to
be hypointense-to-isointense to liver on T1-
and hyperintense on T2-weighted images. Their
lack of fat reflects their hyperintense T2-
weighted fat-suppressed appearance. They tend
to exhibit progressive enhancement postcontrast
MR. Nevertheless, a sufficient number
of pheochromocytomas have an atypical low
signal intensity on T2-weighted images and
not all hyperintense adrenal tumors represent
pheochromocytomas, so that reliance on a
hyperintense T2-weighted appearance results in
a low sensitivity in diagnosing a pheochromocytoma
(Fig. 16.6).
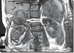
image
Bleeding pheochromocytoma (arrows) identified
on T1-weighted coronal image. Hypointensity surrounding
the right kidney represents a perinephric and paranephric
hematoma.

Scintigraphy with I-123-MIBG achieves an
80% to 90% detection rate for these tumors;
MIBG SPECT sensitivity approaches 100%.
This tracer accumulates in adrenergic tissue
throughout the body, including metastases.
Optimal scan timing is variable, with scans
often obtained 24 to 48 hours postinjection. An
occasional metastasis is detected only on earlier
scans. Indium-111 pentetreotide scintigraphy
appears to have similar detection ability as
I-123-MIBG, but it has not been studied as
extensively.
2-[18F]-fluoro-deoxy-D-glucose PET detected
tumors in 76% of patients with
pheochromocytomas, with most benign, malignant,
and metastatic foci avidly concentrating
FDG (36); in fact, several pheochromocytomas
not accumulating MIBG showed intense FDG
uptake, although MIBG images tended to be as
good or better for tumors concentrating both
agents. A majority of pheochromocytomas also
reveal uptake during (11C)-hydroxyephedrine-
PET scanning (37).
Therapy
The treatment of choice for most pheochromocytomas
is surgical resection, although an
occasional one is treated by catecholamine
pharmacotherapy. Resection consists of either
adrenalectomy or adrenal-sparing surgery, with
a laparoscopic approach commonly employed.
A pheochromocytoma has been treated with
percutaneous radiofrequency ablation (23).

Post a Comment for "Pheochromocytoma (Paraganglioma)"

Category

3 tesla MRI (3) 3D CT (2) 3d printing (1) 7 tesla MRI (1) abdomen (14) Abnormal Mri Brain (33) about (1) accessory bone (1) ACL reconstruction (1) ACL tear (1) ACLS (1) acute cerebillitis (1) acute pancreatitis (1) aiims (2) aiims may 2011 (1) AIIMS nov 2008 (1) aipg (1) ALPSA lesion (1) Anatomy (29) ANGIOGRAPHY (1) ankle (1) ankle fracture (1) ankle sprain (2) Apk Android (8) apple (1) Arachnoid cyst (2) articular cartilage (1) aspergilloma (1) ATFL (1) atherosclerosis (1) avulsion injury (1) awards (1) b (6) B12 deficiency (1) bankart lesion (1) basics (8) basilar artery thrombosis (1) bilateral phaeochromocytoma (1) biopsy (1) bipolar (1) blog (3) BLS (1) body imaging (8) bohler's angle (1) BOLD (1) bone tumour (3) bone tumours (1) bowel cancer (2) brachial plexus (1) BRAIN (4) brain abscess (2) Brain CT (1) brain tb (1) Brain tumour (14) brainstem stroke (1) branchial cyst (1) breast cancer screening (1) Breast imaging (1) Breast imaging Mammography (1) buford complex (1) business today (1) c (9) C T (8) calcaneal fracture (1) calcium scoring (1) cancer (6) canned reports (1) Carcinoid (1) carcinoma esophagus (1) carcinoma stomach (1) cardiac CT (3) cardiac ct/pet (1) cardiac pacemaker (1) cardiogen 82 (1) cardiothoracic imaging (1) career (3) case study (2) catrotid artery dissection (1) cavernoma (1) cerebral venous thrombosis (3) cervical lymphnode levels (1) chest (23) chest radiographic score (1) chest radiographs (1) chest radiology (6) Chest X Ray (3) Chest X Ray Interpretation (7) Chest X Ray Self Assesment (1) chest xray (3) CHF (1) choledocolithiasis (1) classification (1) Clinicoradiological series (4) cloud computing (1) cochlear implant (1) colloid cyst (1) communication in radiology (1) compare case (1) computers and radiology (2) concha bullosa (1) congenital brain anomalies (1) congenital heart disease (1) contrast (2) Contrast Agent (1) coronary artery disease (1) coronary CT (1) corpus callosum agenesis (1) correct (2) Covid19 (2) craniopharyngioma (1) Creutzfeldt-Jakob Disease (1) cryptococcal meningitis (1) CT (25) ct abdomen and pelvis (1) CT Abdomen with contrast (10) CT angiography (1) CT Cardiac (2) CT coronary angiography (1) CT Paranasal (1) ct scan (1) CT Scanner Price (1) CT technology (1) CV junction (1) CXR (5) CXR teaching files (1) cystic renal disease (1) d (3) DAMS (11) Dams clinicoradiological series (3) Dams grand rounds (1) Dams MD/ms (1) dams md/ms coaching (5) dams usmle (1) dams visual treat (1) deep brain stimulator (1) dengue (1) dengue hemorrhagic fever (1) developmental dysplasia (1) devices (1) diagnostic imaging (1) dialysis (1) differential diagnosis (31) diffusion MR imaging (1) diffusion tensor imaging (1) diffusion tractography (1) Diffusion weighted imaging (1) digital radiography (1) Diploma Guid (2) Discuss (1) distal facial neuroma (1) dsa (1) duplication gall bladder (1) dynamic MRI (4) Dysmenorrhea (1) E (1) E World Award 2011 (1) Ebook Free (12) echinococcus (1) echocardiography (1) ectopic kidney (1) elearning (1) elevated diaphragm (1) Embolization Imaging (1) Entrepreneur (3) Entrepreneurship (1) ependymoma (2) epidermoid (2) epilepsy (1) Equipment Cost (2) esop (1) EYE (1) facebook (2) facial neuroma (1) FDA (2) FETUS (4) Fibrous dysplasia (2) fibular osteosarcoma (1) FMG India (1) FMGE (1) FNH (1) Focal liver lesions ultrasound (1) Focal nodular hyperplasia (1) fracture (3) Fun (6) functional mri (1) gadolinium (3) Gall bladder (1) gastrointenstinal tuberculosis (1) gastrointestinal (3) Gastrointestinal Tract Images (3) Gastrointestinal x ray (4) gb 3d (1) GBM (1) GenitoUrinary (5) genitourinary radiology (3) germinoma (1) GI (1) GI radiology (4) gifts (1) GIT (1) Glioblastoma multiforme (1) glioma (1) Glomus jugulare (1) google (1) google plus (1) Group Case (1) guest post (2) guide (8) gun shot injury (1) haemangioblastoma (1) HEAD (1) head and neck radiology (7) Head injury (1) Head Neck (30) health 2.0 (1) healthcare consultancy (1) HEART (1) hemangiblastoma (1) hemophilia (1) hepatobiliary imaging (3) hippocampus (1) hirayama disease (1) HRCT (1) HSG (1) hydatid cyst (1) hypercoagulable (1) hypoxic ischemic encephalopathy (1) ICA dissection (1) Iliotibial Band Friction Syndrome (1) Imaging (11) incorrect (1) indian conferences (1) inferior rectus anomaly (1) infrared (1) interior tomography (1) internet journal of radiology (2) interstitial lung disease (1) interventional radiology (14) Interventional Ultrasound Guiding Biopsi (2) intramedullary metastates (1) intramedullary tuberculomas (1) ipad (1) ipad 2 (1) iphone (2) IRIA 2011 (1) IUGR (1) IVC filter (1) jacoud's arthropathy (1) job (15) Job Info (1) kernohan's notch (1) Kidney Cancer (1) kienbock disease (2) knee (2) kohler's disease (1) krukenberg tumour (1) laceration (1) leber's optic atrophy (1) Leptomeningeal cyst (1) lifestyle (4) lipoma (3) Literature (3) liver (2) Liver abscess ultrasound (3) liver segments ct (2) Liver Size Examination Summary (1) liver transplant (1) locum tenens (2) Lower Extremity (3) lung contusion (1) LV thrombus (1) lymphatics (1) macros (1) mammography (5) MAMOGRAPHY (1) marchifava bingami disease (1) mastoiditis (1) maxillary sinus mucocele (1) MCI Screening (1) MD (1) MD/MS coaching (3) MDCT (2) medial malleolus ossicle (1) medial tibial stress syndrome (1) medical blogs (3) medical writting (1) medicare (1) medicolegal aspects of teleradiology (1) Mesenteric ischemia (1) Middle East respiratory syndrome coronavirus (MERS-CoV) (1) migraine (1) mnemonic (26) mortality (1) motor area (1) Motor neuron disease (1) MPPG (1) MR mammography (1) MR Pancreas (2) MR urography (1) MRA (1) MRCP (1) MRI (45) mri abdomen (2) MRI Cervical (1) MRI contrast (2) mri knee (1) mri lower abdomen (3) mri lumbal (1) MRI update (1) MRI Vertebrae (2) MRI Vertebrae lumbal (2) MRI/PET (1) MRS (2) MRV (1) msk penang course (1) mucinous cystadenoma (1) multicentric Glioblastoma multiforme (1) multislice CT (2) musculoskeletal (21) Musculoskeletal MRI (37) Musculoskeletal radiology (72) mycotic pseudoaneurysm of superficial temporal artery (1) nature (9) NECK (1) nephrogenic systemic fibrosis (1) nephrology (1) Neuroradiology (144) neurosurgery meets (1) nonradiologist (1) Normal Liver US (1) oesophagus (1) olecranon spur (1) On Call Radiology (1) Oncology trial (1) online medical games (1) open access (1) opercular syndrome (1) opinion (1) orbit (1) ORTHOPEDICS (5) os odontoideum (1) os radiale externum (1) osirix (1) osteochondritis (1) osteochondroma (1) osteoid osteoma (1) outsourcing radiology (1) ovarian tumour (1) PAEDIATRICS (2) parameniscal cyst (1) paranasal sinuses (1) parotid vascular mass (1) Partial anomalous pulmonary venous drainage (1) patellar sleeve avulsion fracture (1) patent ductus arteriosus (1) patent foramen ovale (1) patient information (1) PDF Radiology (1) pediatric radiology (9) pediatrics (18) pelvic MRI (1) pelvis (3) pericallosal lipoma (2) pericardial fat (1) Persistent trigeminal artery (1) Pg entrance (1) phaeochromocytoma (1) pharmaceutical writting (1) Physiatrist (1) Physiatry (1) Physician Assistant (1) pineal tumour (1) placenta accreta (1) placenta increta (1) placental insufficiency (1) plain film teaching files (2) plain x ray (1) Plastic Surgery (1) PM and R Physician (1) pneumococcal pneumonia (1) PNS (1) polycystic kidney disease (1) portal Hypertension (1) posterior circulation stroke (1) power point presentation (1) Price MRI Machines 2017 (1) primary complex (1) privacy policy apk (2) Privacy Policy mri (1) Privacy Policy MSCT Cross Sectional Anatomy (1) Privacy policy physio (1) private practice (2) procedure (8) protected health information (1) pseudobulbar palsy (1) pseudomyxoma peritonei (1) psychiatry (3) publications (1) pulmonary edema (1) pulmonary embolism (1) pulmonary tuberculosis (1) Pulmonology (1) Pulvinar sign (1) Quiz (5) rabbit ear sign (1) rad (1) radiation concern (3) radiographic deterioration pattern (1) radiography (1) radiolo (1) radiologist blogs (1) Radiology (22) Radiology 1 (5) Radiology 11 (2) Radiology 14 (8) Radiology 15 (2) Radiology 17 (6) Radiology 18 (5) Radiology 19 (5) Radiology 2 (4) radiology 2.0 (4) Radiology 20 (5) Radiology 21 (5) Radiology 22 (5) Radiology 23 (5) Radiology 24 (10) Radiology 25 (5) Radiology 26 (6) Radiology 27 (5) Radiology 28 (5) Radiology 29 (6) Radiology 3 (4) Radiology 30 (5) Radiology 31 (6) Radiology 32 (5) Radiology 33 (6) Radiology 34 (4) Radiology 35 (5) Radiology 36 (5) Radiology 37 (5) Radiology 38 (5) Radiology 39 (5) Radiology 4 (4) Radiology 40 (3) Radiology 41 (4) Radiology 42 (4) Radiology 43 (3) Radiology 44 (5) Radiology 45 (5) Radiology 46 (5) Radiology 47 (6) Radiology 48 (5) Radiology 49 (6) Radiology 5 (5) Radiology 50 (6) Radiology 51 (6) Radiology 52 (5) Radiology 53 (5) Radiology 54 (8) Radiology 55 (4) Radiology 56 (4) Radiology 57 (4) Radiology 58 (5) Radiology 59 (4) Radiology 6 (5) Radiology 7 (5) Radiology 8 (4) radiology a (4) radiology business (6) radiology city (1) Radiology Conferences (4) radiology debate (1) Radiology grandrounds (1) radiology humour (2) Radiology Images (4) Radiology images of GI Tract (1) radiology images of spleen (1) Radiology Imaging (3) radiology intervensional (1) Radiology Journal (3) Radiology Journal PDF (2) radiology learning (1) radiology links (4) Radiology mcqs (3) Radiology News (23) Radiology News 2021 (1) Radiology PDF (3) Radiology Price List (1) radiology ramblings (10) radiology search engine (1) radiology spotter (1) radiology spotters (1) Radiology Teaching resource (2) Radiology Today (1) Radiology Top (8) Radiology Updates (1) radiolopolis (1) raditudes (1) random ramblings (9) rathke cleft cyst (1) renal case (4) renal imaging (1) renal sinus tumour (1) Renal Ultrasound (1) residency (10) Retinal Surgery (1) Rheumatology (1) right sided aortic arch (1) robot (1) round cell tumour (1) RTA (2) Ryles tube (1) sacral agenesis (1) salary (20) salary 1 (6) scaphoid fracture (1) schatzki ring (1) scientific content (1) screening (1) search engine (1) secondaries (1) secondary ossification centres (1) Seizure (1) Sellar Masses (1) shoulder arthrogram (2) shoulder dislocation (2) silicosis (1) SKULL (1) Sleep Medicine (1) small bowel (2) social media (2) social networking (3) social radiology (1) soft tissue chondroma (1) solitary pulmonary nodule (1) Sonographic Measurements (5) spectroscopy (1) spinal arachnoid cyst (1) spinal cord tumours (1) spinal osteochondroma (1) spine (4) spine tumour (1) spinoglenoid cyst (1) Sports Medicine (1) sternal tuberculosis (1) stress fracture sacrum (1) Stroke (5) stroke mri (1) sub-acute combined degeneration (1) subclavian pseudoaneurysm (1) Subdural hematoma (1) subependymal giant cell astrocytoma (1) sumer sethi (1) Surgery (1) swyer-james syndrome (1) syringomyelia (1) tb (1) TB Hip (2) TBM (1) teaching video (1) Tech (2) TECHNIQUE (2) technology (3) Telemedicine (4) teleradiolo (1) Teleradiology (25) teleradiology business models (1) Teleradiology Providers (7) teleradproviders (1) teleultrasound (1) temporal bone fracture (1) tendoachilles (1) term (4) testicular tumour (1) tethered cord. MRI (1) Thorax (2) tibial stress fracture (1) total knee arthroplasty (1) total shoulder replacment (1) trachea. (1) tracheal diverticulum (1) tracheal stenosis (1) tracheomalacia (1) training (3) Trauma Surgery (1) traumatic lung cyst (1) TRIANGULAR FIBROCARTILAGE COMPLEX (1) triceps tear (1) trigeminal neuralgia (2) triquetral fracture (1) tubercular abscess (1) tuberculoma (1) tuberculosis (5) tuberculosis elbow (1) tuberous sclerosis (2) ultrasound (21) Ultrasound Hepatitis (5) Ultrasound HIV (1) ultrasound image of The segments of the liver (1) ultrasound images (18) Ultrasound in Emergencies (4) Ultrasound Technique (3) Umbilical vein (1) umblical artery doppler (1) Upper Extremity X Ray (1) UPPER LIMPS (4) URI (1) urogenital imaging (3) Urology (1) uroradiology (1) Usmle (1) vascular malformation (1) Vascular Surgery (1) vasovist (1) venous (2) venous angioma (1) ventriculitis (1) Veteran Affairs (1) VHL (1) video (7) Video Anatomy (1) video ct scan (1) video mri (1) viral encephalitis (1) vitamin deficiency (1) Watching the Detectors (1) web 2.0 (8) weblog (3) X Ray Head (1) X Ray Upper Ext (2) x ray Vertebrae (2) X-RAY (34) xray (9)