Skip to content Skip to sidebar Skip to footer

Hepatolithiasis (Oriental Cholangiohepatitis)

              Hepatolithiasis, previously known as Oriental cholangiohepatitis, recurrent pyogenic cholangitis, and primary intrahepatic stones, is most often encountered in patients from East Asia, with only an occasional non-Oriental patient reported. Prevalence in East Asia varies considerably between countries. The hallmark of this condition is intrahepatic bile duct stones proximal to the confluence of right and left hepatic ducts. The etiology of hepatolithiasis is not clear. Bile stasis and bacterial infection probably play a role. Some believe that infestation with the parasites Clonorchis sinensis or Ascaris lumbricoides results in an inflammatory reaction that starts a cycle of stasis, stone formation, and strictures, but evidence for such an association is not convincing. In Japan, a congenital basis for these strictures has been raised, with some patients having congenital common bile duct dilation.
                Multiple strictures develop and calculi and debris form proximal to these strictures. Both intra- and extrahepatic bile ducts eventually dilate, but stones form intrahepatically, more often in the left lobe rather than right lobe ducts. These stones tend to be composed of calcium bilirubinate; they tend to be soft, adhere to the duct wall, and vary in size. Their number
ranges from several to multiple, in some patients filling most of the visualized bile ducts. In fact, often not all bile ducts are visualized by cholangiography because of segmental obstruction by stones.
image
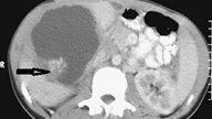
This is radiology images of Oriental cholangiohepatitis. Computed tomography reveals stones (arrows) within dilated intrahepatic bile ducts.

              This condition is progressive and not curable. Involved liver segments tend to atrophy. Untreated, recurrent cholangitis, liver abscesses, cirrhosis and eventual portal hypertension develop. Clinically, the diagnosis is readily missed in countries with a low prevalence. Liver enzymes often are only mildly elevated, and the initial ERCP findings are subtle; early on, the extrahepatic ducts tend to appear normal, while a tight intrahepatic stricture prevents visualization of a more proximal stone in a dilated duct.
                In some patients the sphincter of Oddi is destroyed, with reflux of gas and intestinal content into bile ducts. At times orally ingested contrast refluxes into the bile ducts. Stones and air bubbles can be confused with each other. Computed tomography can suggest the diagnosis by detecting dilated intrahepatic bile ducts and stones. Once the diagnosis is suspected, ERC defines the underlying anatomy using, if necessary, a balloon catheter to dilate and obtain adequate filling of intrahepatic ducts. At times percutaneous cholangiography is necessary to outline the full extent of hepatolithiasis.
               Adequate antibiotic coverage is necessary for these procedures because these patients are prone to cholangitis and sepsis. Not all strictures in oriental cholangitis are benign. These patients are at increased risk for a cholangiocarcinoma. Because of distortion and obstruction by stones, an intrahepatic cholangiocarcinoma is readily overlooked. This tumor infiltrates diffusely and mimics a benignappearing stricture. Imaging in patients with cholangiocarcinoma in a setting of hepatolithiasis reveales irregular ductal strictures or obstruction and lobar atrophy; tumors and stones tend to be located in the same lobe. Some
of these patients have an intraductal papillary tumor and mucin hypersecretion. Generally, the initial therapy of these patients is surgical. Stone extraction, various biliary drainage procedures, and, at times, partial hepatectomy are performed. Liver resection is recommended by some surgeons for patients with intrahepatic segmental or subsegmental biliary stenoses. Some perform a partial left lobe resection if bilateral hepatolithiasis and strictures are found; they believe a lobectomy simplifies future treatment and may decrease complications. At times a Roux-en-Y hepaticojejunostomy is performed in order to clear stones. It is important at surgery to ensure that all stones are located and removed. Intraoperative US-guided transhepatic lithotomy is useful to detect residual stones; stones are located by US, and a surgical path is then chosen using US guidance. 
                A number of endoscopic and percutaneous transhepatic techniques have been developed to deal with these intrahepatic strictures and stones.At times a temporary surgical cutaneous stoma is created, allowing endoscopic access for cholangiography, stricture dilation, and stone removal. Some patients undergo exploration of extrahepatic bile ducts, any accessible stones are removed and a T-tube is inserted; using the Ttube tract for access, strictures are then dilated, stones removed, or electrohydraulic lithotripsy performed. The aim of therapy is complete stone clearance, although stone recurrence is common. An alternative approach in some patients is percutaneous transhepatic cholangioscopy and lithotripsy. As needed, percutaneous or endoscopic stricture dilation and stone extraction are performed. Smaller intrahepatic stones can be pushed into more central ducts, while
larger stones are crushed. Stones can also be fragmented using extracorporeal shockwave lithotripsy.

1 comment for "Hepatolithiasis (Oriental Cholangiohepatitis)"

  1. Nice blog, Keep posting such kind of Blogs
    If you want more information about Hepatolithiasis? Contact Gastro Doctor in Ludhiana, Dr Hardev Ramandeep Sing Girn

    ReplyDelete

Category

3 tesla MRI (3) 3D CT (2) 3d printing (1) 7 tesla MRI (1) abdomen (14) Abnormal Mri Brain (33) about (1) accessory bone (1) ACL reconstruction (1) ACL tear (1) ACLS (1) acute cerebillitis (1) acute pancreatitis (1) aiims (2) aiims may 2011 (1) AIIMS nov 2008 (1) aipg (1) ALPSA lesion (1) Anatomy (29) ANGIOGRAPHY (1) ankle (1) ankle fracture (1) ankle sprain (2) Apk Android (8) apple (1) Arachnoid cyst (2) articular cartilage (1) aspergilloma (1) ATFL (1) atherosclerosis (1) avulsion injury (1) awards (1) b (6) B12 deficiency (1) bankart lesion (1) basics (8) basilar artery thrombosis (1) bilateral phaeochromocytoma (1) biopsy (1) bipolar (1) blog (3) BLS (1) body imaging (8) bohler's angle (1) BOLD (1) bone tumour (3) bone tumours (1) bowel cancer (2) brachial plexus (1) BRAIN (4) brain abscess (2) Brain CT (1) brain tb (1) Brain tumour (14) brainstem stroke (1) branchial cyst (1) breast cancer screening (1) Breast imaging (1) Breast imaging Mammography (1) buford complex (1) business today (1) c (9) C T (8) calcaneal fracture (1) calcium scoring (1) cancer (6) canned reports (1) Carcinoid (1) carcinoma esophagus (1) carcinoma stomach (1) cardiac CT (3) cardiac ct/pet (1) cardiac pacemaker (1) cardiogen 82 (1) cardiothoracic imaging (1) career (3) case study (2) catrotid artery dissection (1) cavernoma (1) cerebral venous thrombosis (3) cervical lymphnode levels (1) chest (23) chest radiographic score (1) chest radiographs (1) chest radiology (6) Chest X Ray (3) Chest X Ray Interpretation (7) Chest X Ray Self Assesment (1) chest xray (3) CHF (1) choledocolithiasis (1) classification (1) Clinicoradiological series (4) cloud computing (1) cochlear implant (1) colloid cyst (1) communication in radiology (1) compare case (1) computers and radiology (2) concha bullosa (1) congenital brain anomalies (1) congenital heart disease (1) contrast (2) Contrast Agent (1) coronary artery disease (1) coronary CT (1) corpus callosum agenesis (1) correct (2) Covid19 (2) craniopharyngioma (1) Creutzfeldt-Jakob Disease (1) cryptococcal meningitis (1) CT (25) ct abdomen and pelvis (1) CT Abdomen with contrast (10) CT angiography (1) CT Cardiac (2) CT coronary angiography (1) CT Paranasal (1) ct scan (1) CT Scanner Price (1) CT technology (1) CV junction (1) CXR (5) CXR teaching files (1) cystic renal disease (1) d (3) DAMS (11) Dams clinicoradiological series (3) Dams grand rounds (1) Dams MD/ms (1) dams md/ms coaching (5) dams usmle (1) dams visual treat (1) deep brain stimulator (1) dengue (1) dengue hemorrhagic fever (1) developmental dysplasia (1) devices (1) diagnostic imaging (1) dialysis (1) differential diagnosis (31) diffusion MR imaging (1) diffusion tensor imaging (1) diffusion tractography (1) Diffusion weighted imaging (1) digital radiography (1) Diploma Guid (2) Discuss (1) distal facial neuroma (1) dsa (1) duplication gall bladder (1) dynamic MRI (4) Dysmenorrhea (1) E (1) E World Award 2011 (1) Ebook Free (12) echinococcus (1) echocardiography (1) ectopic kidney (1) elearning (1) elevated diaphragm (1) Embolization Imaging (1) Entrepreneur (3) Entrepreneurship (1) ependymoma (2) epidermoid (2) epilepsy (1) Equipment Cost (2) esop (1) EYE (1) facebook (2) facial neuroma (1) FDA (2) FETUS (4) Fibrous dysplasia (2) fibular osteosarcoma (1) FMG India (1) FMGE (1) FNH (1) Focal liver lesions ultrasound (1) Focal nodular hyperplasia (1) fracture (3) Fun (6) functional mri (1) gadolinium (3) Gall bladder (1) gastrointenstinal tuberculosis (1) gastrointestinal (3) Gastrointestinal Tract Images (3) Gastrointestinal x ray (4) gb 3d (1) GBM (1) GenitoUrinary (5) genitourinary radiology (3) germinoma (1) GI (1) GI radiology (4) gifts (1) GIT (1) Glioblastoma multiforme (1) glioma (1) Glomus jugulare (1) google (1) google plus (1) Group Case (1) guest post (2) guide (8) gun shot injury (1) haemangioblastoma (1) HEAD (1) head and neck radiology (7) Head injury (1) Head Neck (30) health 2.0 (1) healthcare consultancy (1) HEART (1) hemangiblastoma (1) hemophilia (1) hepatobiliary imaging (3) hippocampus (1) hirayama disease (1) HRCT (1) HSG (1) hydatid cyst (1) hypercoagulable (1) hypoxic ischemic encephalopathy (1) ICA dissection (1) Iliotibial Band Friction Syndrome (1) Imaging (11) incorrect (1) indian conferences (1) inferior rectus anomaly (1) infrared (1) interior tomography (1) internet journal of radiology (2) interstitial lung disease (1) interventional radiology (14) Interventional Ultrasound Guiding Biopsi (2) intramedullary metastates (1) intramedullary tuberculomas (1) ipad (1) ipad 2 (1) iphone (2) IRIA 2011 (1) IUGR (1) IVC filter (1) jacoud's arthropathy (1) job (15) Job Info (1) kernohan's notch (1) Kidney Cancer (1) kienbock disease (2) knee (2) kohler's disease (1) krukenberg tumour (1) laceration (1) leber's optic atrophy (1) Leptomeningeal cyst (1) lifestyle (4) lipoma (3) Literature (3) liver (2) Liver abscess ultrasound (3) liver segments ct (2) Liver Size Examination Summary (1) liver transplant (1) locum tenens (2) Lower Extremity (3) lung contusion (1) LV thrombus (1) lymphatics (1) macros (1) mammography (5) MAMOGRAPHY (1) marchifava bingami disease (1) mastoiditis (1) maxillary sinus mucocele (1) MCI Screening (1) MD (1) MD/MS coaching (3) MDCT (2) medial malleolus ossicle (1) medial tibial stress syndrome (1) medical blogs (3) medical writting (1) medicare (1) medicolegal aspects of teleradiology (1) Mesenteric ischemia (1) Middle East respiratory syndrome coronavirus (MERS-CoV) (1) migraine (1) mnemonic (26) mortality (1) motor area (1) Motor neuron disease (1) MPPG (1) MR mammography (1) MR Pancreas (2) MR urography (1) MRA (1) MRCP (1) MRI (45) mri abdomen (2) MRI Cervical (1) MRI contrast (2) mri knee (1) mri lower abdomen (3) mri lumbal (1) MRI update (1) MRI Vertebrae (2) MRI Vertebrae lumbal (2) MRI/PET (1) MRS (2) MRV (1) msk penang course (1) mucinous cystadenoma (1) multicentric Glioblastoma multiforme (1) multislice CT (2) musculoskeletal (21) Musculoskeletal MRI (37) Musculoskeletal radiology (72) mycotic pseudoaneurysm of superficial temporal artery (1) nature (9) NECK (1) nephrogenic systemic fibrosis (1) nephrology (1) Neuroradiology (144) neurosurgery meets (1) nonradiologist (1) Normal Liver US (1) oesophagus (1) olecranon spur (1) On Call Radiology (1) Oncology trial (1) online medical games (1) open access (1) opercular syndrome (1) opinion (1) orbit (1) ORTHOPEDICS (5) os odontoideum (1) os radiale externum (1) osirix (1) osteochondritis (1) osteochondroma (1) osteoid osteoma (1) outsourcing radiology (1) ovarian tumour (1) PAEDIATRICS (2) parameniscal cyst (1) paranasal sinuses (1) parotid vascular mass (1) Partial anomalous pulmonary venous drainage (1) patellar sleeve avulsion fracture (1) patent ductus arteriosus (1) patent foramen ovale (1) patient information (1) PDF Radiology (1) pediatric radiology (9) pediatrics (18) pelvic MRI (1) pelvis (3) pericallosal lipoma (2) pericardial fat (1) Persistent trigeminal artery (1) Pg entrance (1) phaeochromocytoma (1) pharmaceutical writting (1) Physiatrist (1) Physiatry (1) Physician Assistant (1) pineal tumour (1) placenta accreta (1) placenta increta (1) placental insufficiency (1) plain film teaching files (2) plain x ray (1) Plastic Surgery (1) PM and R Physician (1) pneumococcal pneumonia (1) PNS (1) polycystic kidney disease (1) portal Hypertension (1) posterior circulation stroke (1) power point presentation (1) Price MRI Machines 2017 (1) primary complex (1) privacy policy apk (2) Privacy Policy mri (1) Privacy Policy MSCT Cross Sectional Anatomy (1) Privacy policy physio (1) private practice (2) procedure (8) protected health information (1) pseudobulbar palsy (1) pseudomyxoma peritonei (1) psychiatry (3) publications (1) pulmonary edema (1) pulmonary embolism (1) pulmonary tuberculosis (1) Pulmonology (1) Pulvinar sign (1) Quiz (5) rabbit ear sign (1) rad (1) radiation concern (3) radiographic deterioration pattern (1) radiography (1) radiolo (1) radiologist blogs (1) Radiology (22) Radiology 1 (5) Radiology 11 (2) Radiology 14 (8) Radiology 15 (2) Radiology 17 (6) Radiology 18 (5) Radiology 19 (5) Radiology 2 (4) radiology 2.0 (4) Radiology 20 (5) Radiology 21 (5) Radiology 22 (5) Radiology 23 (5) Radiology 24 (10) Radiology 25 (5) Radiology 26 (6) Radiology 27 (5) Radiology 28 (5) Radiology 29 (6) Radiology 3 (4) Radiology 30 (5) Radiology 31 (6) Radiology 32 (5) Radiology 33 (6) Radiology 34 (4) Radiology 35 (5) Radiology 36 (5) Radiology 37 (5) Radiology 38 (5) Radiology 39 (5) Radiology 4 (4) Radiology 40 (3) Radiology 41 (4) Radiology 42 (4) Radiology 43 (3) Radiology 44 (5) Radiology 45 (5) Radiology 46 (5) Radiology 47 (6) Radiology 48 (5) Radiology 49 (6) Radiology 5 (5) Radiology 50 (6) Radiology 51 (6) Radiology 52 (5) Radiology 53 (5) Radiology 54 (8) Radiology 55 (4) Radiology 56 (4) Radiology 57 (4) Radiology 58 (5) Radiology 59 (4) Radiology 6 (5) Radiology 7 (5) Radiology 8 (4) radiology a (4) radiology business (6) radiology city (1) Radiology Conferences (4) radiology debate (1) Radiology grandrounds (1) radiology humour (2) Radiology Images (4) Radiology images of GI Tract (1) radiology images of spleen (1) Radiology Imaging (3) radiology intervensional (1) Radiology Journal (3) Radiology Journal PDF (2) radiology learning (1) radiology links (4) Radiology mcqs (3) Radiology News (23) Radiology News 2021 (1) Radiology PDF (3) Radiology Price List (1) radiology ramblings (10) radiology search engine (1) radiology spotter (1) radiology spotters (1) Radiology Teaching resource (2) Radiology Today (1) Radiology Top (8) Radiology Updates (1) radiolopolis (1) raditudes (1) random ramblings (9) rathke cleft cyst (1) renal case (4) renal imaging (1) renal sinus tumour (1) Renal Ultrasound (1) residency (10) Retinal Surgery (1) Rheumatology (1) right sided aortic arch (1) robot (1) round cell tumour (1) RTA (2) Ryles tube (1) sacral agenesis (1) salary (20) salary 1 (6) scaphoid fracture (1) schatzki ring (1) scientific content (1) screening (1) search engine (1) secondaries (1) secondary ossification centres (1) Seizure (1) Sellar Masses (1) shoulder arthrogram (2) shoulder dislocation (2) silicosis (1) SKULL (1) Sleep Medicine (1) small bowel (2) social media (2) social networking (3) social radiology (1) soft tissue chondroma (1) solitary pulmonary nodule (1) Sonographic Measurements (5) spectroscopy (1) spinal arachnoid cyst (1) spinal cord tumours (1) spinal osteochondroma (1) spine (4) spine tumour (1) spinoglenoid cyst (1) Sports Medicine (1) sternal tuberculosis (1) stress fracture sacrum (1) Stroke (5) stroke mri (1) sub-acute combined degeneration (1) subclavian pseudoaneurysm (1) Subdural hematoma (1) subependymal giant cell astrocytoma (1) sumer sethi (1) Surgery (1) swyer-james syndrome (1) syringomyelia (1) tb (1) TB Hip (2) TBM (1) teaching video (1) Tech (2) TECHNIQUE (2) technology (3) Telemedicine (4) teleradiolo (1) Teleradiology (25) teleradiology business models (1) Teleradiology Providers (7) teleradproviders (1) teleultrasound (1) temporal bone fracture (1) tendoachilles (1) term (4) testicular tumour (1) tethered cord. MRI (1) Thorax (2) tibial stress fracture (1) total knee arthroplasty (1) total shoulder replacment (1) trachea. (1) tracheal diverticulum (1) tracheal stenosis (1) tracheomalacia (1) training (3) Trauma Surgery (1) traumatic lung cyst (1) TRIANGULAR FIBROCARTILAGE COMPLEX (1) triceps tear (1) trigeminal neuralgia (2) triquetral fracture (1) tubercular abscess (1) tuberculoma (1) tuberculosis (5) tuberculosis elbow (1) tuberous sclerosis (2) ultrasound (21) Ultrasound Hepatitis (5) Ultrasound HIV (1) ultrasound image of The segments of the liver (1) ultrasound images (18) Ultrasound in Emergencies (4) Ultrasound Technique (3) Umbilical vein (1) umblical artery doppler (1) Upper Extremity X Ray (1) UPPER LIMPS (4) URI (1) urogenital imaging (3) Urology (1) uroradiology (1) Usmle (1) vascular malformation (1) Vascular Surgery (1) vasovist (1) venous (2) venous angioma (1) ventriculitis (1) Veteran Affairs (1) VHL (1) video (7) Video Anatomy (1) video ct scan (1) video mri (1) viral encephalitis (1) vitamin deficiency (1) Watching the Detectors (1) web 2.0 (8) weblog (3) X Ray Head (1) X Ray Upper Ext (2) x ray Vertebrae (2) X-RAY (34) xray (9)