Ultrasound images of Renal tract stones
Renal calculi are a common finding on ultrasound.They may be an incidental discovery in an asymptomatic patient; alternatively they may be present in patients with acute renal colic and complete or partial obstruction of the ipsilateral renal tract. They may be the cause of haematuria and can also be associated with urinary tract infections. The composition of calculi can vary. The common types include:
● Calcium stones are the most common type and are frequently associated with patients who have abnormal calcium metabolism.
● Struvite (triple phosphate) stones have a different composition of salts and are associated with urinary tract infections. They may form large, staghorn calculi (see below).
● Uric acid stones are rare, and tend to be associated with gout.
● Cystine stones are the rarest of all and result from a disorder of amino acid metabolism—cystinuria.
Most renal calculi are calcified foci located in the collecting system of the kidney. Careful scanning with modern equipment can identify over 90% of these.16 Most stones are highly reflective structures which display distal shadowing (Fig. below). The shadowing may, however, be difficult to demonstrate
due to the proximity of hyperechoic sinus echoes distal to the stone, or due to the relatively small size of the stone compared to the beam width.
The identification of reflective foci in the kidney is complicated by the fact that the normal renal sinus echoes are of similar echogenicity. This means that small stones may be missed on ultrasound.
Differentiation of stones from sinus fat and reflective vessel walls is dependent upon careful technique and optimal use of the equipment. The operator must adjust the technique to display the distal shadow by using a variety of scanning angles and approaches and by ensuring that the suspected stone lies within the (narrowest) focal zone of the beam. The higher the frequency used, the better the chances of identifying the stone.
Clearly the identification of large calculi is normally straightforward; however, for many of the reasons above, identification of small calculi can be difficult, especially in a patient with pain. Both false-positive and false-negative studies are well recognized. Although traditionally the plain film, that is kidneys, ureters, bladder (KUB), is often the first-line investigation for patients with suspected calculi, it is now being accepted that CT IVU is the best and most reliable diagnostic test for calculi detection (Fig. 7.16 C and D).

A calculus within the PCS of the RK. Distal acoustic shadowing is easily seen.

A staghorn calculus fills the entire PCS of the kidney. A sagittal section through the lateral aspect of the kidney gives the impression of
several separate stones, although this is, in fact, a single calculus.

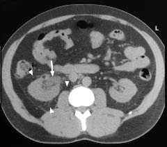
CT IVU through the renal area. The right renal pelvis is mildly dilated (arrow) and a small amount of perirenal stranding is noted, suggestive of obstruction
(arrowheads).

CT scan through the bladder showing a small calculus on the right (arrow) at the right vesicoureteric junction.
Ultrasound still has a major role, however, not just in calculus detection but in identifying the secondary effects, that is, hydronephrosis, and where necessary, guiding renal drainage. The PCS may be obstructed proximal to the stone. Obvious hydronephrosis may be present and a dilated ureter
may be apparent when the stone has travelled distally.
The stone can sometimes be identified in the dilated ureter, but this is unusual as the retroperitoneum is frequently obscured by overlying bowel.
Plain X-ray and/or IVU are traditional essential adjuncts to investigating renal colic in these cases; however CT IVU is rapidly becoming accepted as
one of the mainstream investigations. Early obstruction occurs before the PCS can become dilated, making the diagnosis more difficult on ultrasound. Occasionally there will be mild separation of the PCS to give a clue, but sometimes the kidney appears normal. Doppler ultrasound can help to diagnose obstruction in a non-dilated kidney, as discussed previously, however this may not always be definitive.
● Calcium stones are the most common type and are frequently associated with patients who have abnormal calcium metabolism.
● Struvite (triple phosphate) stones have a different composition of salts and are associated with urinary tract infections. They may form large, staghorn calculi (see below).
● Uric acid stones are rare, and tend to be associated with gout.
● Cystine stones are the rarest of all and result from a disorder of amino acid metabolism—cystinuria.
Most renal calculi are calcified foci located in the collecting system of the kidney. Careful scanning with modern equipment can identify over 90% of these.16 Most stones are highly reflective structures which display distal shadowing (Fig. below). The shadowing may, however, be difficult to demonstrate
due to the proximity of hyperechoic sinus echoes distal to the stone, or due to the relatively small size of the stone compared to the beam width.
The identification of reflective foci in the kidney is complicated by the fact that the normal renal sinus echoes are of similar echogenicity. This means that small stones may be missed on ultrasound.
Differentiation of stones from sinus fat and reflective vessel walls is dependent upon careful technique and optimal use of the equipment. The operator must adjust the technique to display the distal shadow by using a variety of scanning angles and approaches and by ensuring that the suspected stone lies within the (narrowest) focal zone of the beam. The higher the frequency used, the better the chances of identifying the stone.
Clearly the identification of large calculi is normally straightforward; however, for many of the reasons above, identification of small calculi can be difficult, especially in a patient with pain. Both false-positive and false-negative studies are well recognized. Although traditionally the plain film, that is kidneys, ureters, bladder (KUB), is often the first-line investigation for patients with suspected calculi, it is now being accepted that CT IVU is the best and most reliable diagnostic test for calculi detection (Fig. 7.16 C and D).
A calculus within the PCS of the RK. Distal acoustic shadowing is easily seen.
A staghorn calculus fills the entire PCS of the kidney. A sagittal section through the lateral aspect of the kidney gives the impression of
several separate stones, although this is, in fact, a single calculus.
CT IVU through the renal area. The right renal pelvis is mildly dilated (arrow) and a small amount of perirenal stranding is noted, suggestive of obstruction
(arrowheads).
CT scan through the bladder showing a small calculus on the right (arrow) at the right vesicoureteric junction.
Ultrasound still has a major role, however, not just in calculus detection but in identifying the secondary effects, that is, hydronephrosis, and where necessary, guiding renal drainage. The PCS may be obstructed proximal to the stone. Obvious hydronephrosis may be present and a dilated ureter
may be apparent when the stone has travelled distally.
The stone can sometimes be identified in the dilated ureter, but this is unusual as the retroperitoneum is frequently obscured by overlying bowel.
Plain X-ray and/or IVU are traditional essential adjuncts to investigating renal colic in these cases; however CT IVU is rapidly becoming accepted as
one of the mainstream investigations. Early obstruction occurs before the PCS can become dilated, making the diagnosis more difficult on ultrasound. Occasionally there will be mild separation of the PCS to give a clue, but sometimes the kidney appears normal. Doppler ultrasound can help to diagnose obstruction in a non-dilated kidney, as discussed previously, however this may not always be definitive.
LiveJournal Tags: Ultrasound images of Renal tract stones
Post a Comment for "Ultrasound images of Renal tract stones"