Ultrasound images of Oesophagus and stomach
The oesophagus is not usually accessible to percutaneous ultrasound; however, the lower end can be
demonstrated as it passes through the diaphragm in the midline, just anterior to the aorta (Fig.ultrasound images below).

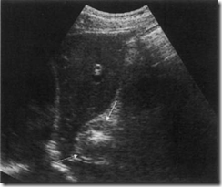
Ultrasound images of Normal oesophagus between the aorta and the left lobe of the liver—thin, hypoechoic walls with a hyperechoic lumen due to the presence of air.

ultrasound images of Thickened walls of the oesophagus in a carcinoma involving the lower oesophagus.
demonstrated as it passes through the diaphragm in the midline, just anterior to the aorta (Fig.ultrasound images below).
Ultrasound images of Normal oesophagus between the aorta and the left lobe of the liver—thin, hypoechoic walls with a hyperechoic lumen due to the presence of air.
ultrasound images of Thickened walls of the oesophagus in a carcinoma involving the lower oesophagus.
LiveJournal Tags: ultrasound images lower oesophagus.
Post a Comment for "Ultrasound images of Oesophagus and stomach"