Skip to content Skip to sidebar Skip to footer

Ultrasound images of Horseshoe kidneys

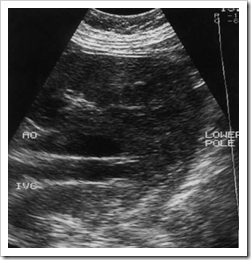
In the horseshoe kidney, the kidneys lie one on each side of the abdomen but their lower poles are fused by a connecting band of renal tissue, or isthmus, which lies anterior to the aorta and IVC (Fig.below). The kidneys tend to be rotated and lie with their lower poles medially. It may be difficult to visualize the isthmus due to bowel gas anterior to it but a horseshoe kidney should always be suspected when the operator is unable to identify the lower poles of the kidneys confidently. When the isthmus can be seen, it is important not to confuse it with other abdominal masses, such as lymphadenopathy. CT is occasionally performed because of this but normally clarifies the findings.
image
Ultrasound images of TS through the abdomen demonstrating the fused lower poles of the horseshoe kidney anterior to the spine.
image
Ultrasound images of Coronal section through a horseshoe kidney with the isthmus of the kidney anterior to the aorta and IVC.

Post a Comment for "Ultrasound images of Horseshoe kidneys"

Category

3 tesla MRI (3) 3D CT (2) 3d printing (1) 7 tesla MRI (1) abdomen (14) Abnormal Mri Brain (33) about (1) accessory bone (1) ACL reconstruction (1) ACL tear (1) ACLS (1) acute cerebillitis (1) acute pancreatitis (1) aiims (2) aiims may 2011 (1) AIIMS nov 2008 (1) aipg (1) ALPSA lesion (1) Anatomy (29) ANGIOGRAPHY (1) ankle (1) ankle fracture (1) ankle sprain (2) Apk Android (8) apple (1) Arachnoid cyst (2) articular cartilage (1) aspergilloma (1) ATFL (1) atherosclerosis (1) avulsion injury (1) awards (1) b (6) B12 deficiency (1) bankart lesion (1) basics (8) basilar artery thrombosis (1) bilateral phaeochromocytoma (1) biopsy (1) bipolar (1) blog (3) BLS (1) body imaging (8) bohler's angle (1) BOLD (1) bone tumour (3) bone tumours (1) bowel cancer (2) brachial plexus (1) BRAIN (4) brain abscess (2) Brain CT (1) brain tb (1) Brain tumour (14) brainstem stroke (1) branchial cyst (1) breast cancer screening (1) Breast imaging (1) Breast imaging Mammography (1) buford complex (1) business today (1) c (9) C T (8) calcaneal fracture (1) calcium scoring (1) cancer (6) canned reports (1) Carcinoid (1) carcinoma esophagus (1) carcinoma stomach (1) cardiac CT (3) cardiac ct/pet (1) cardiac pacemaker (1) cardiogen 82 (1) cardiothoracic imaging (1) career (3) case study (2) catrotid artery dissection (1) cavernoma (1) cerebral venous thrombosis (3) cervical lymphnode levels (1) chest (23) chest radiographic score (1) chest radiographs (1) chest radiology (6) Chest X Ray (3) Chest X Ray Interpretation (7) Chest X Ray Self Assesment (1) chest xray (3) CHF (1) choledocolithiasis (1) classification (1) Clinicoradiological series (4) cloud computing (1) cochlear implant (1) colloid cyst (1) communication in radiology (1) compare case (1) computers and radiology (2) concha bullosa (1) congenital brain anomalies (1) congenital heart disease (1) contrast (2) Contrast Agent (1) coronary artery disease (1) coronary CT (1) corpus callosum agenesis (1) correct (2) Covid19 (2) craniopharyngioma (1) Creutzfeldt-Jakob Disease (1) cryptococcal meningitis (1) CT (25) ct abdomen and pelvis (1) CT Abdomen with contrast (10) CT angiography (1) CT Cardiac (2) CT coronary angiography (1) CT Paranasal (1) ct scan (1) CT Scanner Price (1) CT technology (1) CV junction (1) CXR (5) CXR teaching files (1) cystic renal disease (1) d (3) DAMS (11) Dams clinicoradiological series (3) Dams grand rounds (1) Dams MD/ms (1) dams md/ms coaching (5) dams usmle (1) dams visual treat (1) deep brain stimulator (1) dengue (1) dengue hemorrhagic fever (1) developmental dysplasia (1) devices (1) diagnostic imaging (1) dialysis (1) differential diagnosis (31) diffusion MR imaging (1) diffusion tensor imaging (1) diffusion tractography (1) Diffusion weighted imaging (1) digital radiography (1) Diploma Guid (2) Discuss (1) distal facial neuroma (1) dsa (1) duplication gall bladder (1) dynamic MRI (4) Dysmenorrhea (1) E (1) E World Award 2011 (1) Ebook Free (12) echinococcus (1) echocardiography (1) ectopic kidney (1) elearning (1) elevated diaphragm (1) Embolization Imaging (1) Entrepreneur (3) Entrepreneurship (1) ependymoma (2) epidermoid (2) epilepsy (1) Equipment Cost (2) esop (1) EYE (1) facebook (2) facial neuroma (1) FDA (2) FETUS (4) Fibrous dysplasia (2) fibular osteosarcoma (1) FMG India (1) FMGE (1) FNH (1) Focal liver lesions ultrasound (1) Focal nodular hyperplasia (1) fracture (3) Fun (6) functional mri (1) gadolinium (3) Gall bladder (1) gastrointenstinal tuberculosis (1) gastrointestinal (3) Gastrointestinal Tract Images (3) Gastrointestinal x ray (4) gb 3d (1) GBM (1) GenitoUrinary (5) genitourinary radiology (3) germinoma (1) GI (1) GI radiology (4) gifts (1) GIT (1) Glioblastoma multiforme (1) glioma (1) Glomus jugulare (1) google (1) google plus (1) Group Case (1) guest post (2) guide (8) gun shot injury (1) haemangioblastoma (1) HEAD (1) head and neck radiology (7) Head injury (1) Head Neck (30) health 2.0 (1) healthcare consultancy (1) HEART (1) hemangiblastoma (1) hemophilia (1) hepatobiliary imaging (3) hippocampus (1) hirayama disease (1) HRCT (1) HSG (1) hydatid cyst (1) hypercoagulable (1) hypoxic ischemic encephalopathy (1) ICA dissection (1) Iliotibial Band Friction Syndrome (1) Imaging (11) incorrect (1) indian conferences (1) inferior rectus anomaly (1) infrared (1) interior tomography (1) internet journal of radiology (2) interstitial lung disease (1) interventional radiology (14) Interventional Ultrasound Guiding Biopsi (2) intramedullary metastates (1) intramedullary tuberculomas (1) ipad (1) ipad 2 (1) iphone (2) IRIA 2011 (1) IUGR (1) IVC filter (1) jacoud's arthropathy (1) job (15) Job Info (1) kernohan's notch (1) Kidney Cancer (1) kienbock disease (2) knee (2) kohler's disease (1) krukenberg tumour (1) laceration (1) leber's optic atrophy (1) Leptomeningeal cyst (1) lifestyle (4) lipoma (3) Literature (3) liver (2) Liver abscess ultrasound (3) liver segments ct (2) Liver Size Examination Summary (1) liver transplant (1) locum tenens (2) Lower Extremity (3) lung contusion (1) LV thrombus (1) lymphatics (1) macros (1) mammography (5) MAMOGRAPHY (1) marchifava bingami disease (1) mastoiditis (1) maxillary sinus mucocele (1) MCI Screening (1) MD (1) MD/MS coaching (3) MDCT (2) medial malleolus ossicle (1) medial tibial stress syndrome (1) medical blogs (3) medical writting (1) medicare (1) medicolegal aspects of teleradiology (1) Mesenteric ischemia (1) Middle East respiratory syndrome coronavirus (MERS-CoV) (1) migraine (1) mnemonic (26) mortality (1) motor area (1) Motor neuron disease (1) MPPG (1) MR mammography (1) MR Pancreas (2) MR urography (1) MRA (1) MRCP (1) MRI (45) mri abdomen (2) MRI Cervical (1) MRI contrast (2) mri knee (1) mri lower abdomen (3) mri lumbal (1) MRI update (1) MRI Vertebrae (2) MRI Vertebrae lumbal (2) MRI/PET (1) MRS (2) MRV (1) msk penang course (1) mucinous cystadenoma (1) multicentric Glioblastoma multiforme (1) multislice CT (2) musculoskeletal (21) Musculoskeletal MRI (37) Musculoskeletal radiology (72) mycotic pseudoaneurysm of superficial temporal artery (1) nature (9) NECK (1) nephrogenic systemic fibrosis (1) nephrology (1) Neuroradiology (144) neurosurgery meets (1) nonradiologist (1) Normal Liver US (1) oesophagus (1) olecranon spur (1) On Call Radiology (1) Oncology trial (1) online medical games (1) open access (1) opercular syndrome (1) opinion (1) orbit (1) ORTHOPEDICS (5) os odontoideum (1) os radiale externum (1) osirix (1) osteochondritis (1) osteochondroma (1) osteoid osteoma (1) outsourcing radiology (1) ovarian tumour (1) PAEDIATRICS (2) parameniscal cyst (1) paranasal sinuses (1) parotid vascular mass (1) Partial anomalous pulmonary venous drainage (1) patellar sleeve avulsion fracture (1) patent ductus arteriosus (1) patent foramen ovale (1) patient information (1) PDF Radiology (1) pediatric radiology (9) pediatrics (18) pelvic MRI (1) pelvis (3) pericallosal lipoma (2) pericardial fat (1) Persistent trigeminal artery (1) Pg entrance (1) phaeochromocytoma (1) pharmaceutical writting (1) Physiatrist (1) Physiatry (1) Physician Assistant (1) pineal tumour (1) placenta accreta (1) placenta increta (1) placental insufficiency (1) plain film teaching files (2) plain x ray (1) Plastic Surgery (1) PM and R Physician (1) pneumococcal pneumonia (1) PNS (1) polycystic kidney disease (1) portal Hypertension (1) posterior circulation stroke (1) power point presentation (1) Price MRI Machines 2017 (1) primary complex (1) privacy policy apk (2) Privacy Policy mri (1) Privacy Policy MSCT Cross Sectional Anatomy (1) Privacy policy physio (1) private practice (2) procedure (8) protected health information (1) pseudobulbar palsy (1) pseudomyxoma peritonei (1) psychiatry (3) publications (1) pulmonary edema (1) pulmonary embolism (1) pulmonary tuberculosis (1) Pulmonology (1) Pulvinar sign (1) Quiz (5) rabbit ear sign (1) rad (1) radiation concern (3) radiographic deterioration pattern (1) radiography (1) radiolo (1) radiologist blogs (1) Radiology (22) Radiology 1 (5) Radiology 11 (2) Radiology 14 (8) Radiology 15 (2) Radiology 17 (6) Radiology 18 (5) Radiology 19 (5) Radiology 2 (4) radiology 2.0 (4) Radiology 20 (5) Radiology 21 (5) Radiology 22 (5) Radiology 23 (5) Radiology 24 (10) Radiology 25 (5) Radiology 26 (6) Radiology 27 (5) Radiology 28 (5) Radiology 29 (6) Radiology 3 (4) Radiology 30 (5) Radiology 31 (6) Radiology 32 (5) Radiology 33 (6) Radiology 34 (4) Radiology 35 (5) Radiology 36 (5) Radiology 37 (5) Radiology 38 (5) Radiology 39 (5) Radiology 4 (4) Radiology 40 (3) Radiology 41 (4) Radiology 42 (4) Radiology 43 (3) Radiology 44 (5) Radiology 45 (5) Radiology 46 (5) Radiology 47 (6) Radiology 48 (5) Radiology 49 (6) Radiology 5 (5) Radiology 50 (6) Radiology 51 (6) Radiology 52 (5) Radiology 53 (5) Radiology 54 (8) Radiology 55 (4) Radiology 56 (4) Radiology 57 (4) Radiology 58 (5) Radiology 59 (4) Radiology 6 (5) Radiology 7 (5) Radiology 8 (4) radiology a (4) radiology business (6) radiology city (1) Radiology Conferences (4) radiology debate (1) Radiology grandrounds (1) radiology humour (2) Radiology Images (4) Radiology images of GI Tract (1) radiology images of spleen (1) Radiology Imaging (3) radiology intervensional (1) Radiology Journal (3) Radiology Journal PDF (2) radiology learning (1) radiology links (4) Radiology mcqs (3) Radiology News (23) Radiology News 2021 (1) Radiology PDF (3) Radiology Price List (1) radiology ramblings (10) radiology search engine (1) radiology spotter (1) radiology spotters (1) Radiology Teaching resource (2) Radiology Today (1) Radiology Top (8) Radiology Updates (1) radiolopolis (1) raditudes (1) random ramblings (9) rathke cleft cyst (1) renal case (4) renal imaging (1) renal sinus tumour (1) Renal Ultrasound (1) residency (10) Retinal Surgery (1) Rheumatology (1) right sided aortic arch (1) robot (1) round cell tumour (1) RTA (2) Ryles tube (1) sacral agenesis (1) salary (20) salary 1 (6) scaphoid fracture (1) schatzki ring (1) scientific content (1) screening (1) search engine (1) secondaries (1) secondary ossification centres (1) Seizure (1) Sellar Masses (1) shoulder arthrogram (2) shoulder dislocation (2) silicosis (1) SKULL (1) Sleep Medicine (1) small bowel (2) social media (2) social networking (3) social radiology (1) soft tissue chondroma (1) solitary pulmonary nodule (1) Sonographic Measurements (5) spectroscopy (1) spinal arachnoid cyst (1) spinal cord tumours (1) spinal osteochondroma (1) spine (4) spine tumour (1) spinoglenoid cyst (1) Sports Medicine (1) sternal tuberculosis (1) stress fracture sacrum (1) Stroke (5) stroke mri (1) sub-acute combined degeneration (1) subclavian pseudoaneurysm (1) Subdural hematoma (1) subependymal giant cell astrocytoma (1) sumer sethi (1) Surgery (1) swyer-james syndrome (1) syringomyelia (1) tb (1) TB Hip (2) TBM (1) teaching video (1) Tech (2) TECHNIQUE (2) technology (3) Telemedicine (4) teleradiolo (1) Teleradiology (25) teleradiology business models (1) Teleradiology Providers (7) teleradproviders (1) teleultrasound (1) temporal bone fracture (1) tendoachilles (1) term (4) testicular tumour (1) tethered cord. MRI (1) Thorax (2) tibial stress fracture (1) total knee arthroplasty (1) total shoulder replacment (1) trachea. (1) tracheal diverticulum (1) tracheal stenosis (1) tracheomalacia (1) training (3) Trauma Surgery (1) traumatic lung cyst (1) TRIANGULAR FIBROCARTILAGE COMPLEX (1) triceps tear (1) trigeminal neuralgia (2) triquetral fracture (1) tubercular abscess (1) tuberculoma (1) tuberculosis (5) tuberculosis elbow (1) tuberous sclerosis (2) ultrasound (21) Ultrasound Hepatitis (5) Ultrasound HIV (1) ultrasound image of The segments of the liver (1) ultrasound images (18) Ultrasound in Emergencies (4) Ultrasound Technique (3) Umbilical vein (1) umblical artery doppler (1) Upper Extremity X Ray (1) UPPER LIMPS (4) URI (1) urogenital imaging (3) Urology (1) uroradiology (1) Usmle (1) vascular malformation (1) Vascular Surgery (1) vasovist (1) venous (2) venous angioma (1) ventriculitis (1) Veteran Affairs (1) VHL (1) video (7) Video Anatomy (1) video ct scan (1) video mri (1) viral encephalitis (1) vitamin deficiency (1) Watching the Detectors (1) web 2.0 (8) weblog (3) X Ray Head (1) X Ray Upper Ext (2) x ray Vertebrae (2) X-RAY (34) xray (9)