Skip to content Skip to sidebar Skip to footer

Radiologic Evaluation of Malignant Pleural and Peritoneal Mesothelioma

Malignant mesothelioma is an asbestos-associated malignancy arising from the mesothelial cells of the pleural and peritoneal cavities, as well as the pericardium and the tunica vaginalis.
Mesothelioma usually presents in the fifth to seventh decades, and 70-80 % of cases occur in men (Moore et al., 2008). Malignant pleural mesothelioma (MPM) is the most widely form of mesothelioma. Patients frequently present with dyspnea, chest pain, cough, and weight loss (Moore et al., 2008, Wang et al., 2004). Although most of the mesotheliomas cover the pleural surface, approximately 35% arise only from peritoneum. Patients with malignant peritoneal mesothelioma may present with abdominal pain, distention, anorexia, and weight loss (Park et al., 2008).
Radiologic modalities play a crucial role in the evaluation of malignant mesothelioma. Computed tomography is the primary imaging method used for the diagnosis and the staging of malignant mesothelioma, but also for guiding biopsy for tissue diagnosis.
Magnetic resonans imaging (MRI) is useful for detection of extension of disease, especially to the chest wall and diaphragm (Moore et al., 2008, Wang et al., 2004). In this article we review radiologic findings of malignant pleural and peritoneal mesothelioma with our patient archives. We also wants to give some information about differential diagnosis malignant pleural and peritoneal mesothelioma.

diagnos of mesothelioma

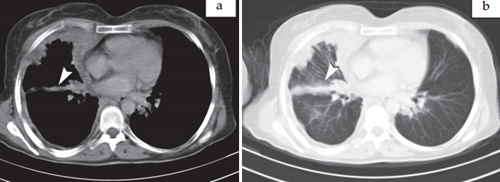
Mesothelioma images > Fig. 1. Axial contrast enhanced CT parenchymal (a.) and mediastinal sections (b.) shows
nodular, irregular and circumferantial right sided pleural thickening in 55 year-old man. Note that contracted right hemithorax and anterior mediastinal lymph node (arrow head). We can see pleural calcification on left sided pleural surface (arrow head).

diagnos of mesothelioma

Axial contrast enhanced CT mediastinal (a.) and parenchymal sections (b.) shows right sided irregular pleural thickening and right major fissur involvement (arrow head).

diagnos of mesothelioma

Axial non- contrast enhanced CT a milimetric parenchymal nodul in right middle lobe (arrow head)

diagnos of mesothelioma

Axial contrast enhanced CT show 1 cm paracardiac lymphadenopathy in 65 year old man with MPM.

diagnos of mesothelioma

Axial contrast enhanced CT shows pericardial invasion and pericardial effusion.

Intravenous contrast-enhanced CT is the primary imaging modality for suspected malignant mesothelioma. CT can show the whole pleural surface and diaphragm. CT findings that is seen mostly are nodular pleural thickening, unilateral pleural effusion, pleural calcification, thickening of interlobar fissur, reduction of thoracic volume (Wang et al., 2004, Ismail-Khan et al., 2006). Pleural calcification is seen approximately 20% of cases (Moore et al., 2008, Wang et al., 2004). Typically, both the visceral and parietal pleurae are involved. Malignant pleural thickening characteristically is circumferantial, nodular and > 1 cm. Also, mediastinal pleural involvement is often detected (Ismail-Khan et al., 2006). Malignant pleural mesothelioma is locally aggressive with invasion of the chest wall, mediastinum and diaphragm. Obliteration of extrapleural fat planes, invasion
of intercostal muscles, displacement of ribs, and bone destruction are findings of chest wall involvement. Heart, esophagus, trachea and major vascular structures of mediastinum may be involved by tumor. Nodular pericardial thickening and pericardial effusion refers to pericardial invasion by malignant pleural mesothelioma. Obliteration of surrounding fat planes of mediastinal organs, covering of vascular structure more than 50% is a strong evidence of invasion (Moore et al., 2008, Wang et al., 2004, Miller et al.,1996, Patz et al., 1992).
Pulmonary metastases of MPM presenting as nodules and masses and, rarely, diffuse miliary nodules may be seen at CT. Chest CT may also rarely demonstrate extrathoracic spread of MPM. Metastasis to the hilar and mediastinal lymph nodes is present at autopsy in approximately 40-45% of patients with MPM ( Miller et al., 1996, Patz et al., 1992, Dynes et al., 1992).
MRI screening is not used routinely in the assessment of malignant mesothelioma, however in patients with potentially resectable disease, MRI can help to provide additional staging information over and above CT. Using gadolinium enhancement, MRI can advance the identification of tumor extension into the diaphragm or chest wall. MRI also is preferred in some patients whom intravenous iodinated contrast is contraindicated.
Malignant pleural mesothelioma is typically isointense or slightly hyperintense on T1-weighted images and moderately hyperintense on T2-weighted images relative to adjacent chest wall muscle. After the gadolinium injection, MPM shows enhancement. MR imaging is superior to CT for showing invasion of the diaphragm and invasion of endothoracic fascia or a single chest wall focus (Moore et al., 2008, Miller et al., 1996, Patz et al., 1992).
The radiologic differential diagnosis includes metastatic pleural disease, pleural lymphoma, asbestos releated benign pleural disease, and tuberculous empyema. Pleural rind, nodular pleural thickening, pleural thickening greater than 1 cm, and mediastinal pleural involvement favor malignant pleural disease. Pleural calsification is usually seen in benign process. Mesothelioma can not be distinguished from metastatic pleural disease on CT.
Discrimination between epithelial types of mesothelioma and metastatic adenocarcinoma requires histochemical, immunohistochemical, and ultrastructural analysis. The presence of hilar-mediastinal adenopathy may be helpful in differentiating metastases and lymphoma from mesothelioma. The radiologic criteria for unresectability are tumor encasing diaphragm, invasion of extrapleural soft tissue, infiltration, displacement, or seperation of ribs by tumor, or bone destruction (Moore et al., 2008, Dynes et al., 1992, Barreiro et al., 2006, Jeong et al., 2008).

Morphologically malignant pleural mesothelioma can be seen in three forms: epithelial, sarcomatous, and mixed. The mixed form is usually mentioned as biphasic or bimorphic. Mixed tumors are composed of both epithelial and sarcomatous components. Epithelial mesotheliomas have a better diagnosis than sarcomatous and mixed tumors so differential diagnosis is very important for determining the prognosis. Epithelial malignant mesotheliomas consist of cells that are similar to normal mesothelial cells. The cells form a tubulopapillary or trabecular pattern. Epithelial malignant mesothelioma may also show prominent secretory changes, microglandular patterns, signet cell structure, or desmoplastic responses that make these tumors difficult to differentiate from adenocarcinomas based on routine histologic analysis alone. The sarcomatous pattern of malignant mesothelioma is typically consist of closely packed spindle cells. No immunohistochemical markers are spesific for malignant mesotheliomas and so there are some immunohistochemical markers such as calretinin thrombomodulin, and cytokeratin 5/6 to differentiate from metastatic adenocarcinomas and soft tissue sarcomas that have similar to histologic appearances (Levy et al., 2008).

1 comment for "Radiologic Evaluation of Malignant Pleural and Peritoneal Mesothelioma"

  1. I was diagnosed as HEPATITIS B carrier in 2013 with fibrosis of the
    liver already present. I started on antiviral medications which
    reduced the viral load initially. After a couple of years the virus
    became resistant. I started on HEPATITIS B Herbal treatment from
    ULTIMATE LIFE CLINIC (www.ultimatelifeclinic.com) in March, 2020. Their
    treatment totally reversed the virus. I did another blood test after
    the 6 months long treatment and tested negative to the virus. Amazing
    treatment! This treatment is a breakthrough for all HBV carriers.

    ReplyDelete

Category

3 tesla MRI (3) 3D CT (2) 3d printing (1) 7 tesla MRI (1) abdomen (14) Abnormal Mri Brain (33) about (1) accessory bone (1) ACL reconstruction (1) ACL tear (1) ACLS (1) acute cerebillitis (1) acute pancreatitis (1) aiims (2) aiims may 2011 (1) AIIMS nov 2008 (1) aipg (1) ALPSA lesion (1) Anatomy (29) ANGIOGRAPHY (1) ankle (1) ankle fracture (1) ankle sprain (2) Apk Android (8) apple (1) Arachnoid cyst (2) articular cartilage (1) aspergilloma (1) ATFL (1) atherosclerosis (1) avulsion injury (1) awards (1) b (6) B12 deficiency (1) bankart lesion (1) basics (8) basilar artery thrombosis (1) bilateral phaeochromocytoma (1) biopsy (1) bipolar (1) blog (3) BLS (1) body imaging (8) bohler's angle (1) BOLD (1) bone tumour (3) bone tumours (1) bowel cancer (2) brachial plexus (1) BRAIN (4) brain abscess (2) Brain CT (1) brain tb (1) Brain tumour (14) brainstem stroke (1) branchial cyst (1) breast cancer screening (1) Breast imaging (1) Breast imaging Mammography (1) buford complex (1) business today (1) c (9) C T (8) calcaneal fracture (1) calcium scoring (1) cancer (6) canned reports (1) Carcinoid (1) carcinoma esophagus (1) carcinoma stomach (1) cardiac CT (3) cardiac ct/pet (1) cardiac pacemaker (1) cardiogen 82 (1) cardiothoracic imaging (1) career (3) case study (2) catrotid artery dissection (1) cavernoma (1) cerebral venous thrombosis (3) cervical lymphnode levels (1) chest (23) chest radiographic score (1) chest radiographs (1) chest radiology (6) Chest X Ray (3) Chest X Ray Interpretation (7) Chest X Ray Self Assesment (1) chest xray (3) CHF (1) choledocolithiasis (1) classification (1) Clinicoradiological series (4) cloud computing (1) cochlear implant (1) colloid cyst (1) communication in radiology (1) compare case (1) computers and radiology (2) concha bullosa (1) congenital brain anomalies (1) congenital heart disease (1) contrast (2) Contrast Agent (1) coronary artery disease (1) coronary CT (1) corpus callosum agenesis (1) correct (2) Covid19 (2) craniopharyngioma (1) Creutzfeldt-Jakob Disease (1) cryptococcal meningitis (1) CT (25) ct abdomen and pelvis (1) CT Abdomen with contrast (10) CT angiography (1) CT Cardiac (2) CT coronary angiography (1) CT Paranasal (1) ct scan (1) CT Scanner Price (1) CT technology (1) CV junction (1) CXR (5) CXR teaching files (1) cystic renal disease (1) d (3) DAMS (11) Dams clinicoradiological series (3) Dams grand rounds (1) Dams MD/ms (1) dams md/ms coaching (5) dams usmle (1) dams visual treat (1) deep brain stimulator (1) dengue (1) dengue hemorrhagic fever (1) developmental dysplasia (1) devices (1) diagnostic imaging (1) dialysis (1) differential diagnosis (31) diffusion MR imaging (1) diffusion tensor imaging (1) diffusion tractography (1) Diffusion weighted imaging (1) digital radiography (1) Diploma Guid (2) Discuss (1) distal facial neuroma (1) dsa (1) duplication gall bladder (1) dynamic MRI (4) Dysmenorrhea (1) E (1) E World Award 2011 (1) Ebook Free (12) echinococcus (1) echocardiography (1) ectopic kidney (1) elearning (1) elevated diaphragm (1) Embolization Imaging (1) Entrepreneur (3) Entrepreneurship (1) ependymoma (2) epidermoid (2) epilepsy (1) Equipment Cost (2) esop (1) EYE (1) facebook (2) facial neuroma (1) FDA (2) FETUS (4) Fibrous dysplasia (2) fibular osteosarcoma (1) FMG India (1) FMGE (1) FNH (1) Focal liver lesions ultrasound (1) Focal nodular hyperplasia (1) fracture (3) Fun (6) functional mri (1) gadolinium (3) Gall bladder (1) gastrointenstinal tuberculosis (1) gastrointestinal (3) Gastrointestinal Tract Images (3) Gastrointestinal x ray (4) gb 3d (1) GBM (1) GenitoUrinary (5) genitourinary radiology (3) germinoma (1) GI (1) GI radiology (4) gifts (1) GIT (1) Glioblastoma multiforme (1) glioma (1) Glomus jugulare (1) google (1) google plus (1) Group Case (1) guest post (2) guide (8) gun shot injury (1) haemangioblastoma (1) HEAD (1) head and neck radiology (7) Head injury (1) Head Neck (30) health 2.0 (1) healthcare consultancy (1) HEART (1) hemangiblastoma (1) hemophilia (1) hepatobiliary imaging (3) hippocampus (1) hirayama disease (1) HRCT (1) HSG (1) hydatid cyst (1) hypercoagulable (1) hypoxic ischemic encephalopathy (1) ICA dissection (1) Iliotibial Band Friction Syndrome (1) Imaging (11) incorrect (1) indian conferences (1) inferior rectus anomaly (1) infrared (1) interior tomography (1) internet journal of radiology (2) interstitial lung disease (1) interventional radiology (14) Interventional Ultrasound Guiding Biopsi (2) intramedullary metastates (1) intramedullary tuberculomas (1) ipad (1) ipad 2 (1) iphone (2) IRIA 2011 (1) IUGR (1) IVC filter (1) jacoud's arthropathy (1) job (15) Job Info (1) kernohan's notch (1) Kidney Cancer (1) kienbock disease (2) knee (2) kohler's disease (1) krukenberg tumour (1) laceration (1) leber's optic atrophy (1) Leptomeningeal cyst (1) lifestyle (4) lipoma (3) Literature (3) liver (2) Liver abscess ultrasound (3) liver segments ct (2) Liver Size Examination Summary (1) liver transplant (1) locum tenens (2) Lower Extremity (3) lung contusion (1) LV thrombus (1) lymphatics (1) macros (1) mammography (5) MAMOGRAPHY (1) marchifava bingami disease (1) mastoiditis (1) maxillary sinus mucocele (1) MCI Screening (1) MD (1) MD/MS coaching (3) MDCT (2) medial malleolus ossicle (1) medial tibial stress syndrome (1) medical blogs (3) medical writting (1) medicare (1) medicolegal aspects of teleradiology (1) Mesenteric ischemia (1) Middle East respiratory syndrome coronavirus (MERS-CoV) (1) migraine (1) mnemonic (26) mortality (1) motor area (1) Motor neuron disease (1) MPPG (1) MR mammography (1) MR Pancreas (2) MR urography (1) MRA (1) MRCP (1) MRI (45) mri abdomen (2) MRI Cervical (1) MRI contrast (2) mri knee (1) mri lower abdomen (3) mri lumbal (1) MRI update (1) MRI Vertebrae (2) MRI Vertebrae lumbal (2) MRI/PET (1) MRS (2) MRV (1) msk penang course (1) mucinous cystadenoma (1) multicentric Glioblastoma multiforme (1) multislice CT (2) musculoskeletal (21) Musculoskeletal MRI (37) Musculoskeletal radiology (72) mycotic pseudoaneurysm of superficial temporal artery (1) nature (9) NECK (1) nephrogenic systemic fibrosis (1) nephrology (1) Neuroradiology (144) neurosurgery meets (1) nonradiologist (1) Normal Liver US (1) oesophagus (1) olecranon spur (1) On Call Radiology (1) Oncology trial (1) online medical games (1) open access (1) opercular syndrome (1) opinion (1) orbit (1) ORTHOPEDICS (5) os odontoideum (1) os radiale externum (1) osirix (1) osteochondritis (1) osteochondroma (1) osteoid osteoma (1) outsourcing radiology (1) ovarian tumour (1) PAEDIATRICS (2) parameniscal cyst (1) paranasal sinuses (1) parotid vascular mass (1) Partial anomalous pulmonary venous drainage (1) patellar sleeve avulsion fracture (1) patent ductus arteriosus (1) patent foramen ovale (1) patient information (1) PDF Radiology (1) pediatric radiology (9) pediatrics (18) pelvic MRI (1) pelvis (3) pericallosal lipoma (2) pericardial fat (1) Persistent trigeminal artery (1) Pg entrance (1) phaeochromocytoma (1) pharmaceutical writting (1) Physiatrist (1) Physiatry (1) Physician Assistant (1) pineal tumour (1) placenta accreta (1) placenta increta (1) placental insufficiency (1) plain film teaching files (2) plain x ray (1) Plastic Surgery (1) PM and R Physician (1) pneumococcal pneumonia (1) PNS (1) polycystic kidney disease (1) portal Hypertension (1) posterior circulation stroke (1) power point presentation (1) Price MRI Machines 2017 (1) primary complex (1) privacy policy apk (2) Privacy Policy mri (1) Privacy Policy MSCT Cross Sectional Anatomy (1) Privacy policy physio (1) private practice (2) procedure (8) protected health information (1) pseudobulbar palsy (1) pseudomyxoma peritonei (1) psychiatry (3) publications (1) pulmonary edema (1) pulmonary embolism (1) pulmonary tuberculosis (1) Pulmonology (1) Pulvinar sign (1) Quiz (5) rabbit ear sign (1) rad (1) radiation concern (3) radiographic deterioration pattern (1) radiography (1) radiolo (1) radiologist blogs (1) Radiology (22) Radiology 1 (5) Radiology 11 (2) Radiology 14 (8) Radiology 15 (2) Radiology 17 (6) Radiology 18 (5) Radiology 19 (5) Radiology 2 (4) radiology 2.0 (4) Radiology 20 (5) Radiology 21 (5) Radiology 22 (5) Radiology 23 (5) Radiology 24 (10) Radiology 25 (5) Radiology 26 (6) Radiology 27 (5) Radiology 28 (5) Radiology 29 (6) Radiology 3 (4) Radiology 30 (5) Radiology 31 (6) Radiology 32 (5) Radiology 33 (6) Radiology 34 (4) Radiology 35 (5) Radiology 36 (5) Radiology 37 (5) Radiology 38 (5) Radiology 39 (5) Radiology 4 (4) Radiology 40 (3) Radiology 41 (4) Radiology 42 (4) Radiology 43 (3) Radiology 44 (5) Radiology 45 (5) Radiology 46 (5) Radiology 47 (6) Radiology 48 (5) Radiology 49 (6) Radiology 5 (5) Radiology 50 (6) Radiology 51 (6) Radiology 52 (5) Radiology 53 (5) Radiology 54 (8) Radiology 55 (4) Radiology 56 (4) Radiology 57 (4) Radiology 58 (5) Radiology 59 (4) Radiology 6 (5) Radiology 7 (5) Radiology 8 (4) radiology a (4) radiology business (6) radiology city (1) Radiology Conferences (4) radiology debate (1) Radiology grandrounds (1) radiology humour (2) Radiology Images (4) Radiology images of GI Tract (1) radiology images of spleen (1) Radiology Imaging (3) radiology intervensional (1) Radiology Journal (3) Radiology Journal PDF (2) radiology learning (1) radiology links (4) Radiology mcqs (3) Radiology News (23) Radiology News 2021 (1) Radiology PDF (3) Radiology Price List (1) radiology ramblings (10) radiology search engine (1) radiology spotter (1) radiology spotters (1) Radiology Teaching resource (2) Radiology Today (1) Radiology Top (8) Radiology Updates (1) radiolopolis (1) raditudes (1) random ramblings (9) rathke cleft cyst (1) renal case (4) renal imaging (1) renal sinus tumour (1) Renal Ultrasound (1) residency (10) Retinal Surgery (1) Rheumatology (1) right sided aortic arch (1) robot (1) round cell tumour (1) RTA (2) Ryles tube (1) sacral agenesis (1) salary (20) salary 1 (6) scaphoid fracture (1) schatzki ring (1) scientific content (1) screening (1) search engine (1) secondaries (1) secondary ossification centres (1) Seizure (1) Sellar Masses (1) shoulder arthrogram (2) shoulder dislocation (2) silicosis (1) SKULL (1) Sleep Medicine (1) small bowel (2) social media (2) social networking (3) social radiology (1) soft tissue chondroma (1) solitary pulmonary nodule (1) Sonographic Measurements (5) spectroscopy (1) spinal arachnoid cyst (1) spinal cord tumours (1) spinal osteochondroma (1) spine (4) spine tumour (1) spinoglenoid cyst (1) Sports Medicine (1) sternal tuberculosis (1) stress fracture sacrum (1) Stroke (5) stroke mri (1) sub-acute combined degeneration (1) subclavian pseudoaneurysm (1) Subdural hematoma (1) subependymal giant cell astrocytoma (1) sumer sethi (1) Surgery (1) swyer-james syndrome (1) syringomyelia (1) tb (1) TB Hip (2) TBM (1) teaching video (1) Tech (2) TECHNIQUE (2) technology (3) Telemedicine (4) teleradiolo (1) Teleradiology (25) teleradiology business models (1) Teleradiology Providers (7) teleradproviders (1) teleultrasound (1) temporal bone fracture (1) tendoachilles (1) term (4) testicular tumour (1) tethered cord. MRI (1) Thorax (2) tibial stress fracture (1) total knee arthroplasty (1) total shoulder replacment (1) trachea. (1) tracheal diverticulum (1) tracheal stenosis (1) tracheomalacia (1) training (3) Trauma Surgery (1) traumatic lung cyst (1) TRIANGULAR FIBROCARTILAGE COMPLEX (1) triceps tear (1) trigeminal neuralgia (2) triquetral fracture (1) tubercular abscess (1) tuberculoma (1) tuberculosis (5) tuberculosis elbow (1) tuberous sclerosis (2) ultrasound (21) Ultrasound Hepatitis (5) Ultrasound HIV (1) ultrasound image of The segments of the liver (1) ultrasound images (18) Ultrasound in Emergencies (4) Ultrasound Technique (3) Umbilical vein (1) umblical artery doppler (1) Upper Extremity X Ray (1) UPPER LIMPS (4) URI (1) urogenital imaging (3) Urology (1) uroradiology (1) Usmle (1) vascular malformation (1) Vascular Surgery (1) vasovist (1) venous (2) venous angioma (1) ventriculitis (1) Veteran Affairs (1) VHL (1) video (7) Video Anatomy (1) video ct scan (1) video mri (1) viral encephalitis (1) vitamin deficiency (1) Watching the Detectors (1) web 2.0 (8) weblog (3) X Ray Head (1) X Ray Upper Ext (2) x ray Vertebrae (2) X-RAY (34) xray (9)