The biliary tract Ultrasound
The following ultrasound of several cases of the biliary tract, at this time the explanation will be presented several cases of which are emergency ultrasound examinations, may be useful.
Gall stones Ultrasound :
Thickening of the gallbladder wall and the presence of peri-cholecystic fluid are secondary findings of acute cholecystitis on ultrasound examination, but are neither sensitive nor specific : Perforated DU +abnormal GB ultrasound :
As acute cholecystitis is an obstructive process, the gallbladder also typically is distended.
Hence, a careful search should be made for an obstructing stone in either the cystic duct or the neck of the gallbladder Emphysematous cholecystitis ultrasound:
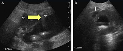
Gall stones Ultrasound :
A. Ultrasound images of gall stone sitting position
B: Decubitus position
Tissue Harmonic imaging THI
Complicated cholecystitis :
Gangrenous cholecystitis ultrasound:
Thickening of the gallbladder wall and the presence of peri-cholecystic fluid are secondary findings of acute cholecystitis on ultrasound examination, but are neither sensitive nor specific : Perforated DU +abnormal GB ultrasound :
As acute cholecystitis is an obstructive process, the gallbladder also typically is distended.
Hence, a careful search should be made for an obstructing stone in either the cystic duct or the neck of the gallbladder Emphysematous cholecystitis ultrasound:










I was diagnosed as HEPATITIS B carrier in 2013 with fibrosis of the
ReplyDeleteliver already present. I started on antiviral medications which
reduced the viral load initially. After a couple of years the virus
became resistant. I started on HEPATITIS B Herbal treatment from
ULTIMATE LIFE CLINIC (www.ultimatelifeclinic.com) in March, 2020. Their
treatment totally reversed the virus. I did another blood test after
the 6 months long treatment and tested negative to the virus. Amazing
treatment! This treatment is a breakthrough for all HBV carriers.