Acute encephalopathy with biphasic seizures & late reduced diffusion-MRI
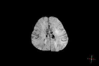
Case Report: 21 months pyrexic male with seizures & unconsciousness. MRI shows extensive, symmetrical, restricted diffusion lesions in cortical & subcortical white matter regions of supra & infra tentorial compartments in general particularly involving interhemispheric fissure, sylvian & central sulci locations, thalami, basal ganglia (most in putamen), corpus callosum (mainly splenium), brain stem(mainly pons), middle cerebellar peduncles, cerebellar hemispheres with reduced ADC values & blooming foci in SW (possible micro- haemorhage) with no perilesional edema or significant mass effect or midline shift, herniation- not specific to etiology, however could represent diffuse lesions variety of AESD ( acute encephalopathy with biphasic seizures & late reduced diffusion). DD- unusual HIE, substance toxicity related brain injury .
Teaching points by Dr MGK Murthy, Dr GA Prasad, Mr Venkat
1. Encephalopathy is classified into multiple syndromes, such as
- Acute encephalopathy with biphasic seizures and late reduced diffusion (AESD)- lesions in the cerebral subcortical white matter
- Mild Encephalopathy with a Reversible Splenial lesion (MERS)- lesions in splenium of the corpus callosum
- Acute necrotizing encephalopathy (ANE) - lesions in bilateral thalami.
2. Acute encephalopathy with callosal, subcortical and thalamic lesions can co-exist in AESD. AESD is characterized by an initial prolonged febrile seizure followed by a cluster of partial seizures several days later. Laboratory not very helpful except excluding viral or ADEM aetiologies with CSF showing neither pleocytosis nor increased protein
3. MRI could be normal for the first 48 hours . Later shows cortical edema & subcortical white matter bright signal on DW named “bright tree appearance” (days 3-9). Possible explanation is excitotoxicity, as evidenced by the increase in glutamine and glutamate complex detected by MR spectroscopy.
4. Sequel, including intractable epilepsy or motor and intellectual deficits may follow, when MR shows cortical and basal ganglia, thalamic lesions. Mainstay of Treatment is Steroids & Mannitol.












Post a Comment for "Acute encephalopathy with biphasic seizures & late reduced diffusion-MRI"