Ultrasound images Haemangioma
These common, benign lesions are highly vascular, composed of a network of tiny blood vessels. They may be solitary or multiple. Most haemangiomas are small and found incidentally. They are rarely symptomatic but do cause diagnostic problems as they can be indistinguishable from liver metastases. Their acoustic appearances vary; the majority are hyperechoic, rounded well-defined lesions; however, atypical hypoechoic lesions or those with mixed echogenicity cause particular diagnostic dilemmas.
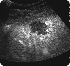
Larger ones can demonstrate a spectrum of reflectivity depending on their composition and may demonstrate pools of blood and central areas of degeneration. They frequently exhibit slightly increased through-transmission, with posterior enhancement, particularly if large. This is probably
due to the increased blood content compared with the surrounding liver parenchyma (Fig. 4.9).
Because the blood within the haemangioma is very slow-flowing, it is usually not possible to demonstrate flow with colour or power Doppler and the lesions appear avascular on ultrasound.
Microbubble contrast agents demonstrate a peripheral, globular enhancement with gradual centripetal filling of the lesion, helping to characterize them and differentiate haemangioma from malignant lesions.
When found in children, haemangiomas tend to be large and do produce symptoms. These masses produce shunting of blood from the aorta via the main hepatic artery and, in extreme cases, present with resulting cardiac failure. They are often heterogeneous in appearance and larger vessels within
them may be identified with Doppler. Although many regress over a period of time, others may have to be embolized with coils under radiological guidance to control the symptoms.
In patients with no cause to suspect malignancy, it may be suggested that the appearances of a small,

Larger ones can demonstrate a spectrum of reflectivity depending on their composition and may demonstrate pools of blood and central areas of degeneration. They frequently exhibit slightly increased through-transmission, with posterior enhancement, particularly if large. This is probably
due to the increased blood content compared with the surrounding liver parenchyma (Fig. 4.9).
Because the blood within the haemangioma is very slow-flowing, it is usually not possible to demonstrate flow with colour or power Doppler and the lesions appear avascular on ultrasound.
Microbubble contrast agents demonstrate a peripheral, globular enhancement with gradual centripetal filling of the lesion, helping to characterize them and differentiate haemangioma from malignant lesions.
When found in children, haemangiomas tend to be large and do produce symptoms. These masses produce shunting of blood from the aorta via the main hepatic artery and, in extreme cases, present with resulting cardiac failure. They are often heterogeneous in appearance and larger vessels within
them may be identified with Doppler. Although many regress over a period of time, others may have to be embolized with coils under radiological guidance to control the symptoms.
In patients with no cause to suspect malignancy, it may be suggested that the appearances of a small,
Three small haemangiomas (arrows).
A haemangioma is demonstrated in the anterior part of
the right lobe of the liver
well-defined, hyperechoic mass are due to benign haemangioma. Follow-up scans will demonstrate no appreciable change over time. However, where doubt exists, it is useful to refer the patient for further imaging, such as MRI scanning, to characterize the lesion confidently.the right lobe of the liver
Administration of an ultrasound contrast agent is also useful in lesion characterization and a haemangioma usually demonstrates a peripheral, nodular enhancement pattern in the arterial phase, with gradual centripetal filling.
On administration of microbubble
contrast agent, the lesion in
contrast agent, the lesion in
LiveJournal Tags: Ultrasound images Haemangioma
Post a Comment for "Ultrasound images Haemangioma"