Spondylolysis
When you see spondylolisthesis (minimal in our patient) you might suspect (usually bilateral) spondylolysis. This is often not the case as spondylolisthesis can also be due to displacement in the facet joints. However it is wise not to miss the spondylolysis. It is rather easy finding on CT - as you can see above. There is no problem judging spondylolysis from normal facet joints. However nowadays we mainly perform MRI for spinal problems.
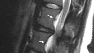
On MRI it is not that easy to find spondylolysis. This is mostly due to more horizontal angle of the fractures compared to vertical angle of the normal facet joints as seen on transversal images. The sagittals are not always that helpful as well. The clue is that spondylolysis looks like 'additional joint' that should not be there. Note on the images above spondylolysis as well as normal facet joint with cartilage seen on the last image (long arrow). This is the same patient as shown on CT therefore it is good to compare those two diagnostic methods.


Post a Comment for "Spondylolysis"