Quiz Online Radiology for Shoilder Joint cases
1. What is this case, ?
a. Clavicle fractures (A) are often described by location, with the clavicle divided into thirds: proximal, middle, or distal. Note the scapular fracture (B) as well.
b. Clavicle fissure (A) are often described by location, with the clavicle divided into thirds: medial, middle, or distal. Note the scapular dislocation (B) as well.
c. Clavicle fracture complete (A) are often described by location, with the clavicle divided into thirds: medial, middle, or distal. Note the scapular fracture (B) as well.
d. Clavicle fracture (A) are often described by location, with the clavicle divided into thirds: medial, middle, or distal. Note the scapular subluxaxion (B) as well.
2. What is this diagnosis..?
a. The small majority of shoulder dislocations are anterior, and the large majority of anterior dislocations are subcoracoid, as demonstrated in this AP view.
b. The large majority of shoulder dislocations are posterior, and the samall of anterior dislocations are subcoracoid, as demonstrated in this AP view.
c. The large majority of shoulder subluxaxion are anterior, and the large majority of anterior dislocations are subcoracoid, as demonstrated in this AP view.
d. The large majority of shoulder dislocations are anterior, and the large majority of anterior dislocations are subcoracoid, as demonstrated in this AP view.
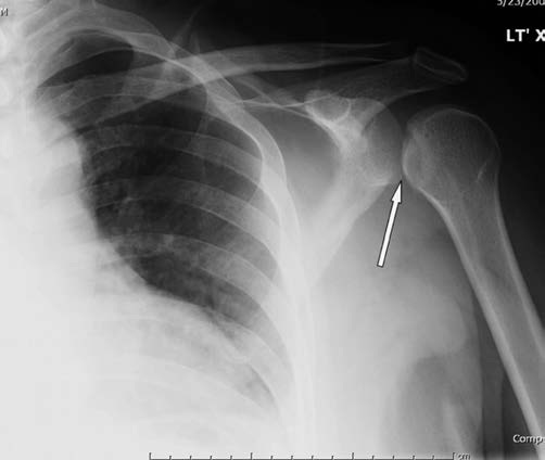
3. What is this diagnosis ?
a. Posterior shoulder subluxaxion is uncommon and is difficult to diagnose on a single AP radiograph.
b. Posterior shoulder dislocation is uncommon and is difficult to diagnose on a single AP radiograph.
c. Posterior shoulder fracture is uncommon and is difficult to diagnose on a single AP radiograph.
d. Posterior shoulder dislocation is uncommon and is difficult to diagnose on a single Oblique radiograph.
4. Whats is this diagnosis.?
a. Posterior shoulder dislocation is clearly
b. Dislocation shoulder
c. Fracture shoulder
d. Subluxaxion shoulder
5. What is this diagnosis
a. Shoulder subluxaxion in which the humeral head is displaced inferiorly while the arm is in an abducted or overhead position.
b. Shoulder fracture in which the humeral head is displaced inferiorly while the arm is in an abducted or overhead position.
c. Shoulder dislocations in which the humeral head is displaced inferiorly while the arm is in an abducted or overhead position.
d. Shoulder fisure in which the humeral head is displaced inferiorly while the arm is in an abducted or overhead position.
6. What is this diagnosis.?
8. What is your diagnosis ?
a. Clavicle fractures (A) are often described by location, with the clavicle divided into thirds: proximal, middle, or distal. Note the scapular fracture (B) as well.
b. Clavicle fissure (A) are often described by location, with the clavicle divided into thirds: medial, middle, or distal. Note the scapular dislocation (B) as well.
c. Clavicle fracture complete (A) are often described by location, with the clavicle divided into thirds: medial, middle, or distal. Note the scapular fracture (B) as well.
d. Clavicle fracture (A) are often described by location, with the clavicle divided into thirds: medial, middle, or distal. Note the scapular subluxaxion (B) as well.
2. What is this diagnosis..?
b. The large majority of shoulder dislocations are posterior, and the samall of anterior dislocations are subcoracoid, as demonstrated in this AP view.
c. The large majority of shoulder subluxaxion are anterior, and the large majority of anterior dislocations are subcoracoid, as demonstrated in this AP view.
d. The large majority of shoulder dislocations are anterior, and the large majority of anterior dislocations are subcoracoid, as demonstrated in this AP view.
3. What is this diagnosis ?
a. Posterior shoulder subluxaxion is uncommon and is difficult to diagnose on a single AP radiograph.
b. Posterior shoulder dislocation is uncommon and is difficult to diagnose on a single AP radiograph.
c. Posterior shoulder fracture is uncommon and is difficult to diagnose on a single AP radiograph.
d. Posterior shoulder dislocation is uncommon and is difficult to diagnose on a single Oblique radiograph.
4. Whats is this diagnosis.?
b. Dislocation shoulder
c. Fracture shoulder
d. Subluxaxion shoulder
5. What is this diagnosis
a. Shoulder subluxaxion in which the humeral head is displaced inferiorly while the arm is in an abducted or overhead position.
b. Shoulder fracture in which the humeral head is displaced inferiorly while the arm is in an abducted or overhead position.
c. Shoulder dislocations in which the humeral head is displaced inferiorly while the arm is in an abducted or overhead position.
d. Shoulder fisure in which the humeral head is displaced inferiorly while the arm is in an abducted or overhead position.
6. What is this diagnosis.?
a. Lage dislocation of the inferior rim of the glenoid
b. Lage Fracture of the posterior rim of the glenoid
c. small dislocation of the superior rim of the glenoid
d. small avulsion of the inferior rim of the glenoid
7. What is diagnosis ?
a. Compression fracture of the superolateral
b. Fisure of the superolateral
c. Dislocation of shoul der
d. Subluxaxion of shoulder








Post a Comment for "Quiz Online Radiology for Shoilder Joint cases"