Renal Ultrasound Cases (Adrenal haemorrhage, Perinephric haematoma, haemorrhage, Renal infarct, Emphysmatous pyelonephritis Renal abscess, Pyelonephritis+GB wall thickening, Acute pyelonephritis, Pyonephrosis, UV junction stone with hydronephrosis, Renal colic ureteric jet)
Renal Ultrasound in Cases value of ureteric jet in below:
Renal colic ultrasound images in below:
Ultrasound images of UV junction stone with hydronephrosis :
Ultrasound images Pyonephrosis :
Renal Ultrasound Pyelonephritis+GB wall thickening :
Renal Ultrasound Renal abscess :
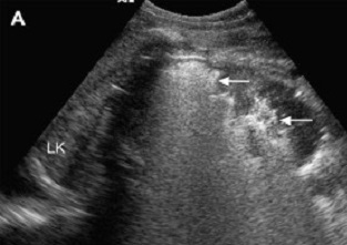
Renal Ultrasound Emphysmatous pyelonephritis :
Renal ultrasound Renal infarct:
renal ultrasound of haemorrhage on AML/RCC :Renal ultrasound of case Perinephric haematoma:
Renal ultrasound of case Adrenal haemorrhage:













Post a Comment for "Renal Ultrasound Cases (Adrenal haemorrhage, Perinephric haematoma, haemorrhage, Renal infarct, Emphysmatous pyelonephritis Renal abscess, Pyelonephritis+GB wall thickening, Acute pyelonephritis, Pyonephrosis, UV junction stone with hydronephrosis, Renal colic ureteric jet)"