Intramedullary Spinal Cord Tuberculoma-MRI
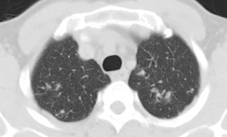
50 year-old man presented with an intramedullary tuberculoma of the thoracic spinal cord manifesting as a 2-month history of progressive paraparesis and sphincter dysfunction. Magnetic resonance imaging showed ring enhancement of the intramedullary thoracic lesion with perifocal edema. CT chest was done and revealed apical infiltrates.




Post a Comment for "Intramedullary Spinal Cord Tuberculoma-MRI"